A sudden panic attack can occur at night - before bedtime, during, and also
The insidiousness of HIV: What happens when the virus attacks the brain Karl Diefenbach, director of research in the field
Child with cerebral palsy
Parents who suspect that their child has cerebral palsy would like to see the diagnostic process
Zyban tablets instructions for use - reviews - analogues - side effects
Zyban is an atypical antidepressant used to treat disorders of the emotional-volitional sphere. One more point
Morning weakness in the legs indicates endocrine disorders
Types and causes of occurrence There are two forms of the disease: idiopathic (primary) and secondary. In the first
11/24/2016 Pinchuk Elena Anatolyevna Deputy chief physician for medical work, kmn, neurologist, physical therapist
Woman lying on computer
Contents: Depression: what is it? How do you know if you are depressed? Common symptoms of depression
Article: A child with autism spectrum disorder forces parents to search and try all possible methods
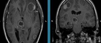
Toxoplasmosis on MRI of the brain
Toxoplasmosis on MRI of the brain Magnetic resonance imaging is a painless and informative way to study the brain
A careless attitude towards a common runny nose or cold can provoke the development of sinusitis. Sinusitis is an inflammatory
For any suggestions regarding the site: [email protected]
Russian | English
Для любых предложений по сайту: logopedkursk@cp9.ru