numbness of the extremities of the legs
Why do my legs and arms go numb?
Why do my legs and arms go numb? What diseases can lead to these symptoms? To which
How to earn more
How to inspire a man to succeed and live prosperously with him
One of the most pressing topics among female audiences these days is how to motivate
5 reasons why you feel sick and have a headache after a nap
Nausea Nausea is a painful feeling of discomfort in the upper abdomen, esophagus and
Mental disorders and behavioral disorders in childhood and adolescence. Tables
© Narrated by Andrey Arkadyevich Shmilovich, Doctor of Medical Sciences, doctor of the highest category, head of the department
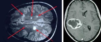
Metastases and brain tumor on MRI
What does MRI of the brain show, indications and contraindications, how to prepare
Among neuroimaging diagnostic methods, electromagnetic screening has the highest level of information content and reliability. MRI
Help with cramps
What causes leg cramps at night?
In this article we will find out what Night Epilepsy or Sleep Epilepsy is, we will find out what
Treatment of obsessions
Panic attacks: symptoms (signs) and treatment
Psychiatry is often “mystified”, as a result of which the treatment of mental illness seems to most to be something extremely extraordinary,
Schizophrenic disorders
Treatment of psychological personality disorders. Symptoms
Disorder of psychological development in a child Main psychological disorders Psychological disorders list To the list of such
Symptoms of Sociopathic Disorder
What is the difference between social phobia and sociopathy
Sociopathy (dissocial personality disorder) is a term that has recently appeared in psychiatry and denotes a persistent character disorder
Phenibut is a drug that has anxiolytic and nootropic effects
Comparing Phenibut and Adaptol | Determining the best
Update date: 07/09/2020 17:06:24 12305 Share: Author: Maria Feldstein *Review of the best according to the editors
For any suggestions regarding the site: [email protected]
Для любых предложений по сайту: logopedkursk@cp9.ru