Что нужно знать о тревожном расстройстве
Ученые и медики заверяют, что переживания и тревога являются вполне нормальными явлениями и в
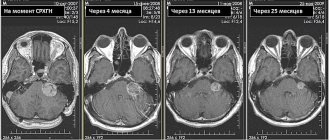
Аденома гипофиза головного мозга (АГГМ) представляет собой опухоль железистой ткани мозгового придатка. Гипофиз –
Температура от нервов — таким явлением профессиональных психологов и неврологов не удивить. Ведь тело
Общие сведения о патологии Заболевание: встречается нечасто; протекает медленно; редко переходит в злокачественную форму;
1.Общие сведения Нейродегенерация – патологический процесс, с развитием которого нервная ткань утрачивает свою сложнейшую
Клонический гемифациальный спазм
Наши специалисты Тарасова Светлана Витальевна Эксперт № 1 по лечению головной боли и мигрени.
Легкая депрессия - Лето
Легкая депрессия (малая, субклиническая, субсиндромальная, субдепрессия) — форма болезни, при которой симптомы сглажены, проявлений
Признаки нервной аллергии
Причины нервного дерматита Точная причина этого заболевания неизвестна. Предполагается, что это особое состояние нервной
О заболевании Множественной системной (мультифокальной, мультисистемной) атрофией называют обширную дегенерацию глиальных клеток во всех
как избавиться от социофобии самостоятельно
Вы или ваш знакомый усердно избегаете контактов с людьми? Вам тяжело знакомиться, налаживать контакты
Для любых предложений по сайту: logopedkursk@cp9.ru