Полосатое тело помогло диагностировать шизофрению автоматически


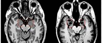
Полосатое тело
лат. corpus striatum
Striatum.
Каталоги
  • MeSH
  • MeSH
  • FMA[1] и FMA[1]
  • TA98
Медиафайлы на Викискладе

Полоса́тое те́ло

(лат. corpus striatum) — анатомическая структура конечного мозга, относящаяся к базальным ядрам полушарий головного мозга. На горизонтальных и фронтальных сечениях мозга полосатое тело имеет вид чередующихся полос серого вещества и белого вещества. В состав полосатого тела входят хвостатое ядро и чечевицеобразное ядро.

Функции[ | ]

Полосатое тело регулирует мышечный тонус, уменьшая его; участвует в регуляции работы внутренних органов; в осуществлении различных поведенческих реакций (пищедобывающее поведение); участвует в формировании условных рефлексов. При разрушении полосатого тела происходит:

  • гипертонус скелетных мышц,
  • нарушение сложных двигательных реакций и пищедобывающего поведения;
  • тормозится формирование условных рефлексов.

Вентральная часть полосатого тела и прилежащее ядро регулируют поощрение и подкрепление в мозге . Дорсальная же часть полосатого тела больше вовлечена в регулирование моторных функций . Дорсальная часть также связана с наличием импульсивности поведения.[2][3][4][5][6]

Афферентные связи базальных ганглиев.

Большая часть афферентных сигналов, приходящих к базальным ганглиям поступает в полосатое тело. Эти сигналы исходят почти исключительно из трех источников:
— от всех областей коры больших полушарий;

— от внутрипластинчатых ядер таламуса;

  • Базальные ганглии строение, развитие, функции
  • Рифленые функции
  • Базальные ядра головного мозга
  • Связанные расстройства
  • Гистология
  • Кровообращение
  • Оболочки
  • Значит ли это, что психопаты не виноваты
  • Функционал базальных ядер

— от черной субстанции ( по дофаминэргическому пути).

Эфферентные волокна от стриатума идут к бледному шару и черной субстанции. От последней начинается не только дофаминэргический путь к полосатому телу, но и пути, идущие к таламусу.

От внутреннего отдела бледного шара берет начало самый важный из всех эфферентных трактов базальных ганглиев, заканчивающийся в таламусе, а так же в крыше среднего мозга. Посредством стволовых образований, с которыми связаны базальные ганглии, центробежные импульсы следуют к сегментарным двигательным аппаратам и мускулатуре по нисходящим проводникам.

— от красных ядер — по руброспинальному тракту;

— от ядра Даркшевича – по заднему продольному пучку к ядрам 3, 4,6 нервов и через его посредство к ядру вестибулярного нерва;

— от ядра вестибулярного нерва – по вестибулоспинальному тракту;

— от четверохолмия — по тектоспинальному тракту;

— от ретикулярной формации — по ретикулоспинальному тракту.

Таким образом, базальные ганглии играют, главным образом, роль промежуточного звена в цепи, связываемой двигательные области коры со всеми остальными ее областями.

Примечания[ | ]

  1. 1234
    Striatum // Foundational Model of Anatomy
  2. L.M. Yager, A.F. Garcia, A.M. Wunsch, S.M. Ferguson.
    The ins and outs of the striatum: Role in drug addiction (англ.) // Neuroscience. — 2015-08. — Vol. 301. — P. 529–541. — doi:10.1016/j.neuroscience.2015.06.033.
  3. M. Foster Olive, Taylor, Lewis.
    The neurocircuitry of illicit psychostimulant addiction: acute and chronic effects in humans (англ.) // Substance Abuse and Rehabilitation. — 2013-02. — P. 29. — ISSN 1179-8467. — doi:10.2147/SAR.S39684.
  4. Sergi Ferré, Carme Lluís, Zuzana Justinova, César Quiroz, Marco Orru.
    Adenosine-cannabinoid receptor interactions. Implications for striatal function: Adenosine-cannabinoid receptor interactions (англ.) // British Journal of Pharmacology. — 2010-06. — Vol. 160, iss. 3. — P. 443–453. — doi:10.1111/j.1476-5381.2010.00723.x.
  5. Nestler, Eric J. (Eric Jonathan), 1954-.
    Molecular neuropharmacology : a foundation for clinical neuroscience. — 2nd ed. — New York: McGraw-Hill Medical, 2009. — 1 online resource с. — ISBN 978-0-07-164119-7, 0-07-164119-X, 0-07-148127-3, 978-0-07-148127-4, 978-1-281-79174-0, 1-281-79174-1.
  6. BaekSun Kim, Heh‐In Im.
    The role of the dorsal striatum in choice impulsivity (англ.) // Annals of the New York Academy of Sciences. — 2019-09. — Vol. 1451, iss. 1. — P. 92–111. — ISSN 1749-6632 0077-8923, 1749-6632. — doi:10.1111/nyas.13961.

Базальные ганглии строение, развитие, функции

В статье поговорим о базальных ганглиях

Что это такое и какую роль эта структура играет в здоровье человека? Все вопросы будут подробно рассмотрены в статье, после чего вы поймёте важность абсолютно каждой детали в вашем теле и голове

Базальные ганглии: физиология

Расположены эти ядра возле полушарий головного мозга. Они имеют очень много отростков большой длины, которые называются аксонами. Благодаря им информация, то есть нервные импульсы, передается к разным структурам мозга.

Базальными ядрами могут считаться красные и хвостатые ядра, бледный шар, скорлупа, черное вещество и ретикулярная формация.

Строение базальных ганглий разнообразное. В основном по этой классификации их делят на те, которые относятся к экстрапирамидной и лимбической системе. Обе эти системы имеют огромное влияние на работу головного мозга, находятся с ним в тесном взаимодействии. Они оказывают воздействие на таламус, теменные и лобные доли. Экстрапирамидная сеть состоит из базальных ганглий. Ей полностью пронизаны подкорковые части мозга, и она оказывает важнейшее влияние на работу всех функций организма человека. Эти скромные образования очень часто остаются недооценёнными, а ведь их работа ещё полностью не изучена.

Функций базальных ганглий не так много, но они существенны. Как мы уже знаем, они сильно связаны со всеми остальными структурами мозга. Собственно, из понимания этого утверждения и вытекают основные функции ядер:

  1. Контроль за осуществлением процессов по интеграции в высшей нервной деятельности.
  2. Влияние на работу вегетативной нервной системы.
  3. Регулирование двигательных процессов человека.

В чём участвуют?

Есть ряд процессов, в которых ядра принимают непосредственное участие. Базальные ганглии, строение, развитие и функции которых мы рассматриваем, участвуют в таких действиях:

  • влияют на ловкость человека при использовании ножниц;
  • точность забивания гвоздей;
  • скорость реакции, ведение мяча, точность попадания в корзину и ловкость отбивания мяча при игре в баскетбол, футбол, волейбол;
  • владение голосом во время пения;
  • координация действий во время копания земли.

Новые исследования доказали, что базальные ганглии также могут влиять на тип движения:

  • поддающиеся контролю или внезапные;
  • повторяемые много раз или новые, совершенно неизвестные;
  • простые односложные или последовательные и даже одновременные.

В обычной жизни базальные ядра просто передают импульсы, которые поступают от лобных долей, к другим структурам мозга. Целью является целенаправленное выполнение известных действий без нагрузки на ЦНС. Однако в опасных ситуациях ганглии переключаются и позволяют человеку автоматически принять наиболее оптимальное решение.

Поражения базальных ганглиев могут быть очень разными. Рассмотрим некоторые из них. Это дегенеративные поражения мозга человека (например, болезнь Паркинсона или хорея Гентингтона). Это могут быть наследственные генетические болезни, которые связаны с нарушением обмена веществ. Патологии, характеризующиеся сбоями в работе ферментных систем. Заболевания щитовидной железы тоже могут происходить из-за нарушений в работе ядер. Возможные патологии, возникающие вследствие отравления марганцем. Влиять на работу базальных ядер могут опухоли мозга, и, пожалуй, это самая неприятная ситуация.

Важно Ладастен: инструкция по применению и для чего он нужен, цена, отзывы, аналоги. препарат для лечения астенических расстройств ладастен: инструкция, отзывы ладастен инструкция по применению аналоги

Базальные ядра головного мозга

Данные структуры (ганглии) находятся непосредственно под корковой частью конечного мозга. Они значительно влияют на двигательную функциональность человеческого организма. Их нарушение главным образом отражается на тонусе мышц.

Что собой представляют базальные ядра

Подкорковые ганглии головного мозга – это плотные анатомические структуры, локализующиеся в белом веществе больших полушарий.

К структурам ганглий подключается:

  • Чечевицеобразное и хвостатое ядро головного мозга
  • Ограда
  • Миндалевидное тело

Подкорковые ядра ганглии имеют в своем наличии оболочки, в состав которых включается белое вещество. Хвостатое ядро в совокупности с чечевицеобразным, анатомически представляются полосатым телом.

Три крупных подкорковых ядра формируют экстрапирамидальную систему, которая участвует в управлении движениями и поддержании тонуса мышц.

Главной функцией ганглий является замедление или ускорение передачи импульсов от таламуса к корковым областям, которые отвечают за моторные функции.

Хвостатое ядро ганглий конечного отдела составляет стриопалидарную систему отвечает за мышечное сокращение.

Назначение базальных ядер тесно связывается с деятельностью гипоталамуса и гипофиза. Чаще всего ряд нарушений в структуре и функций ганглий сопровождается снижением функций гипофиза.

Дополнительные структуры

Ограда представляется тоненьким слоем серого вещества, которое локализуется между скорлупой и островком. Всю ограду буквально обволакивает белое вещество, формирующее две капсулы:

  • Наружную, которая локализуется между оградой и скорлупой
  • Крайнюю, расположенную рядом с островком

Лимбическая система или висцеральный мозг, выделяется своей структурной сложностью. Функции лимбической системы многогранны, как и специфичностью ее строения.

Лимбика отвечает за:

  • Вегетативные реакции
  • Активную деятельность, направленную на приобретение и развитие навыков
  • Психологические и эмоциональные процессы

Патологические состояния ганглий

Специалисты установили, что характерные патологические изменения ведут к возникновению ряда других заболеваний:

  1. Функциональная дефицитарность базальных ганглий

Патологическое новообразование в головном мозге возникает вследствие аномального обмена веществ, атрофии или поражения мягкой ткани, а также инфекционных процессов. Наиболее неблагоприятное осложнение, вызываемое патологией базальных ядер, выступает кровоизлияние. Если в этом случае пациенту не будет оказана своевременная медицинская помощь, то при возможном разрыве полости наступает смерть человека.

Доброкачественное новообразование или киста, не увеличивающаяся в своих размерах, практически никаким образом не причиняет неудобств пациенту. В случае если врач отмечает прогрессирование эволюции ганглий, то пациенту присваивается инвалидность.

Связанные расстройства

Большинство расстройств и заболеваний, связанных со стриатумой влияют на движения, как добровольцев, так и автоматические , Болезнь Паркинсона и болезнь Хантингтона являются двумя основными примерами дисфункции базальных ганглиев.

Однако некоторые психологические изменения, по-видимому, зависят от функционирования этой структуры, главным образом в связи с ее ролью в системе вознаграждения головного мозга.

Болезнь Паркинсона

Болезнь Паркинсона вызывает поражения головного мозга, в основном в базальных ганглиях. Смерть дофаминергических нейронов в черной субстанции он препятствует высвобождению дофамина в стриатуме, вызывая такие двигательные симптомы, как медлительность, ригидность, тремор и нестабильность позы. Депрессивные симптомы также производятся.

Важно Нимотоп

Болезнь Хантингтона

На начальном этапе болезнь Хантингтона поражает в основном стриатуму; Это объясняет, почему ранние симптомы связаны с моторным контролем, эмоциями и исполнительными функциями. В этом случае базальные ганглии не в состоянии сдерживать ненужные движения возникает гиперкинезия.

Биполярное расстройство

Исследования показывают, что в некоторых случаях биполярного расстройства происходят изменения в генах, которые регулируют функцию полосатого тела. Доказательства в этом отношении были найдены как для биполярного расстройства типа I, так и для типа II.

Связанная статья: «Биполярное расстройство: 10 особенностей и курьезов, которые вы не знали»

Обсессивно-компульсивное расстройство и депрессия

Обсессивно-компульсивное расстройство и депрессия, которые они имеют похожую биологическую основу , были связаны с дисфункциями в стриатуме. Это объясняет снижение настроения, которое происходит при обоих расстройствах; Трудность подавления движений также имеет значение при ОКР.

Вы можете быть заинтересованы: «Есть несколько типов депрессии?»

Зависимости

Дофамин является нейромедиатором, участвующим в системе вознаграждения мозга; приятные ощущения, которые мы испытываем, когда в базальных ганглиях высвобождается допамин, объясняют нашу мотивацию вернуться к поискам опыта, который, как мы знаем, доставляет удовольствие. Это объясняет пристрастия с физиологической точки зрения .

Рейтинг
( 2 оценки, среднее 5 из 5 )
Понравилась статья? Поделиться с друзьями:
Для любых предложений по сайту: logopedkursk@cp9.ru