Парез конечностей
Парез – приобретенный или врожденный порок нервной системы. Из-за повреждения головного или спинного мозга
Дыхательный невроз
Синдром гипервентиляции легких может быть, как контролируемым, так и неконтролируемым процессом, характеризующимся интенсивным, быстрым
ээг головного мозга что показывает у взрослого
Электроэнцефалография — нейрофизиологический метод регистрации суммарной электрической активности головного мозга. В современной практике для
Слабость, головокружение, утомляемость — симптомы, которые могут появляться при ряде патологических состояний и заболеваний,
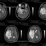
КТ: виды, противопоказания, как проходит
КТ (компьютерная томография) – это метод диагностического обследования организма. Инструментальный тест проводится с применением
Причины головной боли и шума в ушах Важно определить причину, по которой возникает головная
Менингеальный синдром
Больше полезной информации про другие разнообразные виды болезней на букву «М»: Малая хорея, Медленные
что делать после обморока
Первая помощь при обмороке Необходимо увериться, что человек дышит. Нужно запрокинуть голову человека и
Тест
В медицинской практике при диагностировании заболеваний и выявлении патологий используются специальные позы. В неврологии
Строение промежуточного мозга
Общие сведения Промежуточный мозг – нижняя, наиболее массивная и несущая огромную функциональную нагрузку часть
Для любых предложений по сайту: logopedkursk@cp9.ru