Олигодендроциты — опора и поддержка нейрона

Олигодендроциты

, или
олигодендроглиоциты
— клетки нейроглии. Это наиболее многочисленная группа глиальных клеток [1]. Олигодендроциты локализуются в центральной нервной системе.

Олигодендроциты — клетки овальной формы с отростками. Их основная функция — миелинизация аксонов ЦНС. Каждый олигодендроглиоцит имеет множество отростков, каждый из которых оборачивает собой часть какого-либо аксона. В результате один олигодендроцит оказывается связан с несколькими нейронами. Тем самым обеспечивается изоляция аксона, и, как следствие её — возможность быстрого сальтаторного проведения нервных импульсов (по перехватам Ранвье, остающимся между изолированными участками).

Олигодендроциты выполняют также трофическую функцию по отношению к нейронам, принимая активное участие в их метаболизме.

Разновидностью олигодендроцитов в периферической нервной системе являются Шванновские клетки.

Распад миелиновых оболочек ведет к нарушению проводимости сигнала, этот процесс называется демиелинизацией и вызывает ряд заболеваний, это могут быть как аутоиммунные заболевания, так и генетические, также это может вызывать старческую деменцию.

Олигодендроциты также обеспечивают функцию депо: они синтезируют и хранят холестерин, необходимый для построения и обновления мембраны, а также делятся им с нейронами для тех же целей.

Благодаря миелиновым оболочкам возможно восстановление нейрона, при условии, что тело не пострадало. Он и сохраняют «тоннели», по которым новое волокно будет расти.

Наследник великого гистолога и мозговые фагоциты

Термин «микроглия» ввёл ученик знаменитого гистолога Сантьяго Рамон-и-Кахаля – Пио дел Рио-Гортега – ещё в 1920-х годах, когда он разделил глиальные клетки мозга на макро- и микроглию. Впоследствии их стали называть клетки Гортега, и так учёный навсегда вписал в историю своё имя.
Пио дель Рио-Гортега (1882-1945 гг.).
Credit: Wikipedia
Пио дел Рио-Гортега впервые представил концепцию микроглии, как определённого клеточного элемента центральной нервной системы 1 июня 1920 года в статье La microglía y su transformación en células en bastoncito y cuerpos granuloadiposos.

  • Функции[ | код]
  • Синаптические связи
  • Морфологические компоненты рефлекторной дуги.
  • Микроскопическое строение нейрона. Классификация нейронов.
  • Строение и функции нейроглии (астроциты, олигодендроциты, микроглия, эпендима). Взаимоотношения нейронов и нейроглии.
  • Строение нейрона
  • Клеточная мембрана
  • Поврежденная обёртка
  • Патологии
  • Что такое нейроглия

Первая работа Гортеги

Позже эти представления он развил в главе Microglia

, написанной для книги, ставшей затем знаковой –
Cytology and Cellular Pathology of the Nervous System
(Цитология и клеточная патология нервной системы). Она вышла под редакцией Уайлдера Пенфилда в 1932 году. В этой главе Рио-Гортега говорил о том, что микроглия мигрирует в ЦНС на ранних этапах эмбриогенеза и в развивающемся мозге присутствует временная её форма – амёбоидная. Она, активно фагоцитируя (поглощая посторонние включения), выполняет защитную функцию в ранний послеродовый период, когда ещё не вполне развит гематоэнцефалический барьер и вещества из крови легко попадают в мозг. При этом такие клетки имеют большую способность мигрировать и размножаться.

Происхождение и развитие микроглии. Credit: public domain

Нужно отметить, что Гортега имел предшественников и не он был первооткрывателем клеток Гортеги. Кто был первым, пока что неясно. Вроде бы, в 1878 году Карл Фроманн идентифицировал клеточные изменения в определенных областях головного и спинного мозга умершего от рассеянного склероза пациента 22 лет. Мы точно знаем, что в конце XIX – начале XX века эти клетки видели и зарисовывали Франц Ниссль, Алоис Альцгеймер и Людвиг Мерцбахер. Да и сам учитель Гортеги, Сантьяго Рамон-и-Кахаль тоже отметился на этом поприще.

Зарисовки Алоиса Альцгеймера Сейчас уже известно, что микроглия принципиально отличается от полученных из костного мозга моноцитов/макрофагов, которые часто можно найти в периферических тканях. Отличие в том, что её клетки берут своё начало из примитивных макрофагов, которые происходят из стенки желточного мешка, во время эмбриогенеза (8-я неделя эмбрионального развития) и входят в мозговой рудимент через систему кровообращения.

Эти предшественники окружают нейроэпителий развивающегося мозга вокруг к 9-й неделе эмбрионального развития и на 64-й день входят в нейроэпителий, начиная заселять ткань ЦНС. Действительно, микроглиоциты на этом этапе развития имеют амёбоидную, а не ветвящуюся форму.

Интересно, что учёный ещё в 20-х годах 20 века в главе «Microglia

» писал, что мигрируя вдоль сосудистых сплетений, оплетающих нервную трубку, и проводящих путей белого мозгового вещества, клетки микроглии проникают во все отделы ЦНС. В сформированном мозге они по своему виду схожи с астроцитами (клетками макроглии), и в таком виде в них можно различить тело и множество не переплетающихся друг с другом отростков (такое состояние микроглии известно сегодня как «покоящаяся» микроглия). То есть представление о них по прошествии десятков лет не сильно изменилось.

Микроглия полностью заселяет ЦНС лишь к 28 дню постнатального развития. Развитие и выживание микроглии зависит от нескольких факторов, включая фактор транскрипции PU.1, а также CSF1R.

В уже сформированном головном мозге клетки микроглии распределены равномерно во всех его отделах и, за редким исключением, проявляют небольшую вариативность. Но как только возникает патологический процесс, эти клетки, активируясь, приобретают амёбовидную форму, которая присуща им на ранних этапах эмбриогенеза.

Дель Рио-Гортега ввёл свои постулаты на основе исследований, опубликованных в серии статей между 1919 и 1927 годами, в которых для маркировки микроглиальных клеток он использовал усовершенствованную методику импрегнации серебром (специальная окраска, которую придумал Камилло Гольджи, за что совместо с Рамон-и-Кахалем получил Нобелевскую премию). Техника визуализации была утомительной и достаточно продолжительной по времени, но она того стоила – получались качественные и чёткие изображения микроглиальных клеток.

Помимо термина «микроглия» дель Рио-Гортега также ввёл термин «микроглиоцит». В учебниках по нейронаукам, издававшихся после Второй мировой войны, эти клетки уже назывались клетками микроглии. Название хоть и слегка изменилось на микроглиальные клетки, но остаётся актуальным до сих пор.

Что нужно для созревания олигодендроцитов?

Олигодендроциты – это разновидность клеток нейроглии, которые покрывают отростки нейронов миелиновой оболочкой в пределах ЦНС. Как и другие клетки нейроглии (за исключением микроглии), олигодендроциты в эмбриональном периоде образуются из мезодермы, однако молекулярные пути, ответственные за их дифференцировку, изучены плохо. Согласно недавнему исследованию, опубликованному в журнале Neuron, для дифференцировки олигодендроцитов необходимо, чтобы некоторые из их мРНК подвергались особой модификации, известной как m6A-метилирование (то есть присоединение метильной группы к шестому атому азота аденозина, входящего в состав мРНК).

Выяснилось, что эта модификация необходима для правильного сплайсинга мРНК, кодирующей белок нейрофасцин 155 – важный фактор развития клеток нейроглии.

Молекулярные механизмы, лежащие в основе дифференцировки и специализации клеток – едва ли не самая запутанная область клеточной биологии и биологии развития. Развитие и созревание многих типов клеток, относительно неплохо изученных в зрелом состоянии, и по сей день остается белым пятном. Причина такой несправедливости заключается в том, что чаще всего дифференцировка клеток из неспециализированных клеток-предшественников сопровождается одновременными изменениями в уровнях экспрессии множества генов, отследить которые поодиночке невозможно.

Ситуация стала меняться в последние годы, когда в связи с бурным развитием высокопроизводительного секвенирования стало возможным получать информацию о всех молекулах РНК, присутствующих в клетке в данный момент времени (такой РНК-профиль клетки получил название транскриптом). Сейчас мы можем не только отслеживать количественные изменения в уровне экспрессии тех или иных генов в ходе процесса дифференцировки, но и выявлять особые модификации в молекулах мРНК, которым они подвергаются уже после транскрипции.

Одна из самых часто встречающихся посттранскрипционных модификаций мРНК в клетках млекопитающих – ковалентное присоединение метильной группы (-CH3) к атому азота N6в составе азотистого основания аденозина, известное как m6A-метилирование. Такое незначительное, на первый взгляд, изменение может иметь колоссальные последствия для дальнейших этапов биосинтеза белка. Роль m6A-метилирования уже показывали во многих процессах, связанных с развитием организма, и созревание олигодендроцитов – в их числе.

Авторы исследования сумели продемонстрировать, что в ходе созревания олигодендроцитов происходят динамические изменения в частоте встречаемости m6A-метилирования в ряде транскриптов. Оказалось, что при «выключении» белка METTL14, который отвечает за внесение этой модификации, количество олигодендроцитов резко уменьшалось, как и уровень миелинизированности аксонов в ЦНС, хотя число клеток-предшественников олигодендроцитов оказалось неизменным.

Выяснилось, что инактивация METTL14 нарушает постмитотическое развитие олигодендроцита, причём на транскриптомах клеток-предшественников олигодендроцитов и самих олигодендроцитов она отражается по-разному. На молекулярном уровне нарушения в m6A-метилировании вызывают сбои в процессе сплайсинга (вырезания определенных нуклеотидов) множества транскриптов, в том числе транскриптов белка нейрофасцина 155.

Эта изоформа нейрофасцина специфична для клеток нейроглии и необходима для их правильного созревания. Впрочем, в молекулярной дифференцировке клеток нейроглии, в том числе и олигодендроцитов, по-прежнему остается множество неизученных моментов.

Текст: Елизавета Минина

m6A mRNA Methylation Is Essential for Oligodendrocyte Maturation and CNS Myelination by Xu, H., Dzhashiashvili, Y., Shah, A., Kunjamma, R. B., Weng, Y., Elbaz, B., … Popko, B. in Neuron. (2019)

doi:10.1016/j.neuron.2019.12.013

Функции[ | код]

Олигодендроциты тесно связаны с нервными клетками, и, как и другие глиальные клетки, олигодендроциты предоставляют нейронам опору, а также трофическую поддержку путем продуцирования глиального нейротрофического фактора (GDNF), мозгового нейротрофического фактора (BDNF) и инсулиноподобного фактора роста-1 (IGF-1). Кроме того, нервная система млекопитающих сильно зависит от миелиновых оболочек, которые уменьшают утечку ионов и уменьшают емкость клеточной мембраны. Также миелин увеличивает скорость проведения нервных импульсов, когда скачкообразное распространение потенциалов действия происходит по перехватам Ранвье между шванновскими клетками (в периферической нервной системе) или олигодендроцитами (в центральной нервной системе). Кроме того, скорость распространения импульсов миелинизированного аксона увеличивается пропорционально его диаметру, тогда как скорость импульсов немиелинизированных волокон увеличивается только как квадратный корень из диаметра аксона. Изоляция по толщине должна быть пропорциональна диаметру волокна. Оптимальное для максимальной скорости проведения импульсов соотношение диаметра аксона, деленного на диаметр всего волокна (включая миелиновую оболочку), равно 0.6.

Cпутниковые олигодендроциты функционально отличаются от других олигодендроцитов. Они не прикреплены к нейронам и, следовательно, не выполняют изолирующую роль. Они регулируют состав внеклеточной жидкости. Спутниковые олигодендроциты считаются частью серого вещества, тогда как миелинизирующие олигодендроциты являются частью белого вещества.

Важно Нейропластичность мозга: как развивать самый главный орган

Миелинизация — важный фактор, влияющий на интеллект. Нейробиолог Винсент Дж. Шмитхорст предположил, что между объёмом белого вещества мозга и интеллектом есть взаимосвязь. Люди с бóльшим количеством белого вещества имеют более высокий показатель IQ. Исследование, проведенное Дженис М. Юраска на крысах, показало, что крысы, выращенные в обогащенной среде, имели большую степень миелинизации в их мозолистых телах.

Функция

Существует два типа олигодендроцитов, каждый из них отличается по своему месту преимущественной локализации и выполняемым функциям. Среди них выделяют:

  • миелинизирующие;
  • спутниковые.

Наряду с другими глиальными клетками у олидендроцитов имеется тесная связь со всей нервной системой. Для нейронов они представляют опору, выполняя так же функцию трофической поддержки для осуществления продукции глиальных трофических факторов, а так же мозговых нейротрофических факторов и инсулиноподобных факторов роста. Во всей нервной системе у каждого млекопитающего наблюдается сильная зависимость от миелиновой структуры. За счёт миелиновой оболочки, покрывающей нервные структуры, происходит утечка ионового компонента, а так же уменьшается ёмкостная способность клеточных мембран.

Именно за счёт структуры миелиновой оболочки происходит увеличение скорости передачи нервного импульса, в тех случаях, когда скачкообразные распространения действий потенциалов происходят в перехватах Ранвье, а так же промежутках, расположенных меду участками шванновских клеток на уровне периферических отделов нервной системы), а так же олигодендроцитов(в области центральной нервной системы).Увеличение скорости распространения нервного импульса будет величиной, зависимой от толщины аксона, осуществляющего передачу.

Существуют так же и другие типы олигодендроцитов, являющихся спутниковыми. По своей функции они имеют существенное отличие. Они не прикрепляются к структуре других нейронов, и следовательно, изолирующая роль при этом не выполняется. За счёт спутниковых олигодендроцитов происходит регуляция состава компонентов внеклеточной жидкости. В отличие от миелинизирующих олигодендроцитов спутниковые принадлежат к серому веществу головного мозга, выполняющему иную функциональную роль.

Синаптические связи

В основе формирования нейронных сетей лежит электрическое возбуждение, которое состоит из двух процессов:

  • запуск электрического возбуждения от энергии внешних воздействий – происходит за счет особой чувствительности мембран, расположенных на дендритах;
  • запуск клеточной активности на основании полученного сигнала и воздействие на другие структурные единицы нервной системы.

Нейроны связаны между собой посредством специальных структур – синапсов. Они состоят из пресинаптической и постсинаптической мембран, между которыми находится синаптическая щель, заполненная жидкостью.

По характеру действия синапсы могут быть возбуждающими и тормозными. Передача сигналов может быть химической и электрической.

В первом случае на пресинаптической мембране синтезируются нейромедиаторы, которые поступают на рецепторы постсинаптической мембраны другой клетки из специальных пузырьков – везикул. После их воздействия в соседний нейрон могут массированно поступать ионы определенного вида. Это происходит через калийные и натриевые каналы. В обычном состоянии они закрыты, внутри клетки находятся отрицательно заряженные ионы, а снаружи – положительно. Следовательно, на оболочке образуется разница напряжений. Это потенциал покоя. После попадания положительно заряженных ионов внутрь возникает потенциал действия – нервный импульс.

Баланс клетки восстанавливается с помощью специализированных белков – калиево-натриевых насосов.

Свойства химических синапсов:

  • возбуждение осуществляется только в одном направлении;
  • наличие задержки от 0,5 до 2 мс при передаче сигнала, связанной с длительностью процессов выделения медиатора, его передачи, взаимодействия с рецептором и образования потенциала действия;
  • может возникать утомление, вызванное истощением запаса медиатора или появлением стойкой деполяризации мембраны;
  • высокая чувствительность к ядам, лекарственным препаратам и другим биологически активным веществам.

Для электрической передачи характерна узкая синаптическая щель и пониженное сопротивление между мембранами. В таком случае потенциал, созданный на пресинаптической мембране, вызывает распространение возбуждения на постсинаптической мембране.

Свойства электрических синапсов:

  • скорость передачи информации выше, чем в химических синапсах;
  • возможна как односторонняя, так и двусторонняя передача сигнала (в обратную сторону).

Также существуют смешанные синапсы, в них возбуждение может передаваться как с помощью нейромедиаторов, так и с помощью электрических импульсов.

Память включает в себя хранение и воспроизведение полученной информации. В результате обучения остаются так называемые следы памяти, а их наборы образуют энграммы – «записи». Нейронный механизм заключается в следующем: по цепи много раз проходят определенные импульсы, формируются структурные и биохимические изменения в синапсах. Этот процесс называется консолидацией. Многократное использование одних и тех же контактов создает специфические белки – это и есть следы памяти.

Морфологические компоненты рефлекторной дуги.

рефлекторная дуга

— несколько связанных между собой нейронов, обеспечивает реакцию органа на раздражение. состоит из трех звеньев: афферентное (рецепторное), ассоциативное (вставочное) и эффекторное. вставочное может отсутствовать.

автономная (вегетативна) дуга: афферентное звено представлено псевдоуниполярным нейроном. тело его лежит в спинальном ганглии, а дендриты образуют окончания с тканями, органами, сосудами, железами. аксон входит в спинной мозг в составе задних корешков, идет в боковые рога серого вещества, где образует синапсы с вставочным звеном. вставочные нейроны мультиполярны, их дендриты находятся в боковых рогах серого вещества, а аксон через передние корешки устремляется к вегетативному ганглию, где и заканчивается синапсом с эффекторным звеном. нейорны этого звена тоже мультиполярны, а аксон направлен к клеткам рабочих органов (гладкие м-цы, железы, сердце)

соматическая дуга:с рецепторным звеном все то же самое, только дендриты контактируют с кожей и скелетной мускулатурой.аксоны идут в задние рога серого в-ва, где и находятся вставочные нейроны. некоторые коллатерали проходят в передние рога, где контактируют с мотонейронами. вставочное звено отличается только расположением (задние рога). нейроны эффекторного звена лежат в спинальных ганглиях, откуда в составе смешанного нерва идут к скелетным мышцам, образуя на них моторные бляшки.

Происхождение

Олигодендроглия развивается из олигодендроцитарных клеток-предшественников.

Большинство олигодендроцитов развиваются в течение эмбриогенеза и раннего младенчества из околожелудочковых зародышевых областей.

Клетки субвентрикулярной зоны мигрируют из зародышевых зон, чтобы заселить развивающиеся белое и серое вещество, где они дифференцируются и созревают в миелин-образующую олигодендроглию.

Однако ещё неизвестно, все ли олигодендроглиальные предшественники проходят такую последовательность событий. Было высказано предположение, что некоторые из них подвергаются апоптозу, то есть самоуничтожаются, а другие не могут дифференцироваться в зрелую олигодендроглию и сохраняются как взрослые олигодендроглиальные предшественники. Примечательно, что популяция олигодендроцитов, возникшая в субвентрикулярной зоне, может быть резко расширена за счет введения эпидермального фактора роста (EGF).

Сейчас происхождение олигодендроцитов активно обсуждается учеными.

При рождении миелинизация распространена только в некоторых регионах мозга, она продолжается до возраста 25-30 лет.

Микроскопическое строение нейрона. Классификация нейронов.

тело нейрона

— ядро и близлежащая цитоплазма+ всякий грЭПР, АГ и т.д. на плазмолемме — куча рецепторов. ядро крупной, с 2-3 ядрышками, возле ядра у женщин обитает тельце Барра. плазмолемма способна проводить импульс и имеет na/k насосы (говорят, закачивается не натрий, а кальций). грЭПР образует глыбки, в связи с чем все вместе получило название тигроида (тельца Ниссля). они распадаются при длительном раздражении или повреждении нейрона. все остальное неинтересно. много митохондрий, развит АГ, активные эндосомы… цитоскелет — МКТ (нейротрубочки), микрофиламенты, ПФ (нейрофиламенты). нейрофил. и нейротрубочки связываются мостиками, образуя нейрофибриллы.

дендрит

. проводит импульс от нейрона к нейрону через аксо-дендритные синапсы, расположенные в области выпячиваний цитоплазмы — дендритных шипиков. дендритов много, они коротки, сильно ветвятся. нейротрубочки и нейрофиламенты осуществляют дендритный транспорт.


аксон

. длинны отросток, отходит от аксонного холмика на теле нейрона (там генерируется импульс). большая его часть покрыта глией. цитоплазма аксона даже названа по-особому — акксоплазма. в ней, конечно же, есть МКТ и ПФ, а также глЭПР, цистерны АГ, митохондрии и всякое такое. аксоны могут иметь перпендикулярные ответвления — коллатерали. в конце аксон часто распадается на мелкие веточки (телодендрии), чем заканчивается — всем известно.

перемещение веществ по аксону осуществляется за счет динеина и кинезина, есть ретрограградный (из аксона в тело), а есть антероградный (из тела в аксон)

Важно Болезни гипофиза и гипоталамо-гипофизарной системы

классификация

  1. морфологическая

    униполярные (амакринные нейроны сетчатки глаза и межклубочковые нейроны обон. луковицы)

  2. биполярные (имеют аксон и дендрит. к ним же относятся псевдоуниполярные)
  3. мультиполярные (аксон и несколько дендритов)

функциональная

  1. чувствительные (афферентные)
  2. двигательные (эфферентные)
  3. ассоциативные (вставочные)

биохимическая

  1. холинергические (медиатор — ацетилхолин)
  2. адренергические (медиатор норадреналин)
  3. серотонинергические (все ясно)
  4. дофаминергические
  5. ГАМК-ергические (гамма-аминомасляная кислота)
  6. пуринергические (АТФ и производные)
  7. пептидергические (медиаторы — субстанция Р, энкефалины, эндорфины и куча всяких других нейропептидов)

Строение нейрона

Каждая структура в организме человека состоит из специфических тканей, присущих органу или системе. В нервной ткани – нейрон (нейроцит, нерв, неврон, нервное волокно). Что такое нейроны головного мозга? Это структурно-функциональная единица нервной ткани, входящая в состав головного мозга. Кроме анатомического определения нейрона, существует также функциональное – это возбуждающаяся электрическими импульсами клетка, способная к обработке, хранению и передаче на другие нейроны информации с помощью химических и электрических сигналов.

Строение нервной клетки не так сложно, в сравнении со специфическими клетками прочих тканей, также оно определяет её функцию. Нейроцит состоит из тела (другое название – сома), и отростков – аксон и дендрит. Каждый элемент неврона выполняет свою функцию. Сома окружена слоем жирной ткани, пропускающая лишь жирорастворимые вещества. Внутри тела располагается ядро и прочие органеллы: рибосомы, эндоплазматическая сеть и другие.

Кроме собственно нейронов, в головном мозге преобладают следующие клетки, а именно: глиальные клетки. Их часто называют мозговым клеем за их функцию: глия выполняет вспомогательную функцию для нейронов, обеспечивая окружение для них. Глиальная ткань предоставляет возможность нервной ткани регенерации, питания и помогает при создании нервного импульса.

Количество нейронов в головном мозге всегда интересовало исследователей в области нейрофизиологии. Так, численность нервных клеток варьировалось от 14 миллиардов до 100. Последними исследованиями бразильских специалистов выяснилось, что число нейронов составляет в среднем 86 миллиардов клеток.

Отростки

Инструментом в руках нейрона являются отростки, благодаря которым нейрон способен выполнять свою функцию передатчика и хранителя информации. Именно отростки формируют широкую нервную сеть, что позволяет человеческой психике раскрываться во всей ее красе. Бытует миф, будто умственные способности человека зависят от количества нейронов или от веса головного мозга, но это не так: гениями становятся те люди, у которых поля и подполя мозга сильно развиты (больше в несколько раз). За счет этого поля, отвечающие за определенные функции, смогут выполнять эти функции креативнее и быстрее.

Аксон

Аксон – это длинный отросток нейрона, передающий нервные импульсы от сомы нерва к другим таким же клеткам или органам, иннервируемым определенным участком нервного столба. Природа наделила позвоночных животных бонусом – миелиновым волокном, в структуре которого находятся шванновские клетки, между которыми располагаются небольшие пустые участки – перехваты Ранвье. По ним, как по лесенке, нервные импульсы перескакивают от одного участка к другому. Такая структура позволяет в разы ускорить передачу информации (примерно до 100 метров в секунду). Скорость передвижения электрического импульса по волокну, не обладающего миелином, составляет в среднем 2-3 метра в секунду.

Дендриты

Иной вид отростков нервной клетки – дендриты. В отличие от длинного и цельного аксона, дендрит является короткой и разветвленной структурой. Этот отросток не участвует в передачи информации, а только в ее получении. Так, к телу нейрона возбуждение поступает с помощью коротких веток дендритов. Сложность информации, которую дендрит способен получит, определяется его синапсами (специфические нервные рецепторы), а именно его диаметром поверхности. Дендриты, благодаря огромному количеству своих шипиков, способны устанавливать сотни тысяч контактов с другими клетками.

Метаболизм в нейроне

Отличительной особенностью нервных клеток является их обмен веществ. Метаболизм в нейроците выделяется своей высокой скоростью и преобладанием аэробных (основанных на кислороде) процессов. Такая черта клетки объясняется тем, что работа головного мозга чрезвычайно энергоемкая, и его потребность в кислороде велика. Несмотря на то, что вес мозга составляет всего 2% от веса всего тела, его потребление кислорода составляет примерно 46 мл/мин, а это – 25% от общего потребления организма.

Главным источником энергии для ткани мозга, кроме кислорода, является глюкоза, где она проходит сложные биохимические преобразования. В конечном итоге из сахарных соединений высвобождается большое количество энергии. Таким образом, на вопрос о том, как улучшить нейронные связи головного мозга, можно ответить: употреблять продукты, содержащие соединения глюкозы.

Литература

Alexei Verkhratsky, Vladimir Parpura. Introduction to Neuroglia. Morgan & Claypool, 2014.

Это заготовка статьи по нейробиологии. Вы можете помочь проекту, дополнив её.
Афферентный нерв/ Сенсорный нейрон GSA · GVA · SSA · SVA · Нервные волокна (Мышечные веретёна (Ia), Нервно-сухожильное веретено (Ib), II или Aβ-волокна, III или Aδ-волокна, IV или C-волокна)
Эфферентный нерв/ Моторный нейрон GSE · GVE · SVE · Верхний мотонейрон · Нижний мотонейрон (α мотонейроны, γ мотонейроны)
Синапс Химический синапс · Нервно-мышечный синапс · Эфапс (Электрический синапс) · Нейропиль · Синаптический пузырёк
Сенсорный рецептор Тельце Мейснера · Тельце Меркеля · Тельце Пачини · Тельце Руффини · Нервно-мышечное веретено · Свободное нервное окончание · Обонятельный нейрон · Фоторецепторные клетки · Волосковые клетки · Вкусовая луковица
Нейроглия Астроциты (Радиальная глия) · Олигодендроциты · Клетки эпендимы (Танициты) · Микроглия
Миелин (Белое вещество) ЦНС: Олигодендроциты

ПНС: Шванновские клетки (Нейролемма · Перехват Ранвье/Межузловой сегмент · Насечка миелина)

Соединительная ткань Эпиневрий · Периневрий · Эндоневрий · Пучки нервных волокон · Мозговые оболочки: твёрдая, паутинная, мягкая

Клеточная мембрана

Благодаря мембране клетка имеет свой потенциал. При передаче его по цепочке происходит иннервация возбудимой ткани. Контакт мембран соседствующих нейронов происходит в синапсах. Поддержание постоянства внутренней среды – это важная составляющая жизнедеятельности любой клетки. И мембрана тонко регулирует концентрацию в цитоплазме молекул и заряженных ионов. При этом происходит транспорт их в необходимых количествах для протекания реакций метаболизма на оптимальном уровне.

Важно Основные симптомы и клиническая картина болезни паркинсона

Главный компонент мозга человека или другого млекопитающего – нейрон (другое название – неврон). Именно эти клетки образуют нервную ткань. Наличие невронов помогает приспособиться к условиям окружающей среды, чувствовать, мыслить. С их помощью передается сигнал в нужный участок тела. Для этой цели используются нейромедиаторы. Зная строение нейрона, его особенности, можно понять суть многих заболеваний и процессов в тканях мозга.

Поврежденная обёртка

Рисунок 5. Нарушение чувствительности по полиневритическому типу. Название «носки — перчатки» связано с тем, что анатомические зоны, соответствующие поражению нервов, похожи на области, покрываемые этими предметами одежды.

Как мне кажется, для человеческого организма вполне подходит следующее правило: если есть орган, значит, к нему должна быть болезнь. В принципе, это правило можно расширить до молекулярных процессов: есть процесс — есть и болезни, связанные с нарушением этого процесса. В случае с миелином это демиелинизирующие заболевания. Их довольно много, но подробнее я расскажу о двух — синдроме Гийена-Барре и рассеянном склерозе. При этих расстройствах повреждение миелина приводит к нарушению адекватного проведения сигнала по нервам, что и обуславливает симптомы болезни.

Синдром Гийена-Барре (СГБ) — это заболевание периферической нервной системы, при котором происходит разрушение миелиновой оболочки, формируемой шванновскими клетками. СГБ является классическим аутоиммунным заболеванием. Как правило, ему предшествует инфекция (часто — вызванная микробом ). Присутствие различных возбудителей в организме человека запускает аутоиммунное повреждение миелина нервных волокон T- и B-лимфоцитами. Клинически это проявляется мышечной слабостью, нарушением чувствительности по типу «носки — перчатки» (полиневритический тип) (рис. 5). В дальнейшем мышечная слабость может нарастать вплоть до полного паралича конечностей и поражения туловищной мускулатуры. Поражения чувствительной нервной системы также могут быть разнообразны: от снижения способности различать собственные движения (нарушение глубокой чувствительности) до выраженного болевого синдрома. При тяжелых формах СГБ главную опасность представляет потеря способности к самостоятельному дыханию, требующая подключения к аппарату искусственной вентиляции легких (ИВЛ). Для лечения СГБ в настоящее время используют плазмаферез (очистку плазмы от вредных антител) и внутривенные вливания препаратов человеческого иммуноглобулина для нормализации иммунного ответа. В большинстве случаев лечение приводит к стойкому выздоровлению.

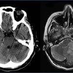
Рисунок 6. Очаги поражения центральной нервной системы при рассеянном склерозе на МРТ выглядят как белые бляшки.

Рисунок 7. В зависимости от места поражения нервной системы при рассеянном склерозе может быть разная симптоматика: от тремора и атаксии при повреждении мозжечка до эмоциональных расстройств при локализации очагов в лобных долях.

Патологии

Повреждение олигодендроцитов наблюдается при демиелинизирующих заболеваниях, таких как рассеянный склероз и различные лейкодистрофии. Дисфункция олигодендроцитов также может быть связана с патофизиологией шизофрении и биполярного расстройства.

Травмы тела, например, повреждения спинного мозга, могут также вызвать демиелинизацию. Церебральный паралич (иногда развивается из перивентрикулярной лейкомаляции, которая представляет собой локальный или распространенный асептический некроз белого вещества больших полушарий головного мозга и встречается чаще всего у недоношенных детей) в основном бывает врожденным или вызванным повреждением новообразованного мозга (травма структур головного мозга в период внутриутробного развития и родов). При церебральном параличе, травме спинного мозга, инсульте и, возможно, рассеянном склерозе олигодендроциты, как полагают, повреждаются чрезмерным высвобождением нейромедиатора глутамата. Было также показано, что повреждение опосредовано NMDA-рецепторами глутамата.

Олигодендроциты также восприимчивы к инфекции полиомавирусом человека (вирусом JC), что вызывает прогрессирующую мультифокальную лейкоэнцефалопатию (PML) – состояние, которое специфически затрагивает белое вещество, как правило, у пациентов с ослабленным иммунитетом.

Опухоли олигодендроглии называют олигодендроглиомами. Химиотерапевтический агент флуороурацил (5-FU) вызывает повреждение олигодендроцитов у мышей, что приводит как к резким острым нарушениям центральной нервной системы, так и постепенно усиливающейся со временем отсроченной дегенерации ЦНС.

Клиническое значение [ править ]

Смотрите также: Миелин § Дисмиелинизация и демиелинизирующие заболевания

Заболевания, которые приводят к повреждению олигодендроцитов, включают демиелинизирующие заболевания, такие как рассеянный склероз и различные лейкодистрофии . Травма тела, например, повреждение спинного мозга, также может вызвать демиелинизацию. Незрелые олигодендроциты, число которых увеличивается в середине беременности , более уязвимы для гипоксических повреждений и участвуют в перивентрикулярной лейкомаляции . [25] Это в значительной степени врожденное состояние, связанное с повреждением новообразованного мозга, поэтому может привести к церебральному параличу . Считается, что при церебральном параличе, травме спинного мозга, инсульте и, возможно, рассеянном склерозе, олигодендроциты повреждаются из-за чрезмерного высвобождения нейромедиатора ,глутамат . [26] Также было показано, что повреждение опосредуется рецепторами N-метил-D-аспартата . [26] олигодендроциты дисфункция также может быть вовлечена в патофизиологии в шизофрении и биполярного расстройства . [27]

Олигодендроциты также восприимчивы к инфекции вирусом JC , который вызывает прогрессирующую мультифокальную лейкоэнцефалопатию (ПМЛ), состояние, которое специфически поражает белое вещество, как правило, пациентов с ослабленным иммунитетом . Опухоли олигодендроцитов называются олигодендроглиомами . Химиотерапевтический агент фторурацил (5-ФУ) вызывает повреждение олигодендроцитов у мышей, что приводит как к острому повреждению центральной нервной системы (ЦНС), так и к прогрессирующему ухудшению замедленной дегенерации ЦНС. [28] [29]

Рейтинг
( 2 оценки, среднее 4.5 из 5 )
Понравилась статья? Поделиться с друзьями:
Для любых предложений по сайту: logopedkursk@cp9.ru