Арахноидальная киста головного мозга


Медикаментозное лечение

В терапии нет необходимости, если новообразование имеет небольшие размеры, и не доставляет дискомфорта пациенту. Достаточно просто проходить периодическое профилактическое обследование. Но если киста начала увеличиваться, то на первых порах нужно проводить медикаментозное лечение.
По МКБ-10 болезнь имеет код G93. Пациенту назначаются препараты, способствующие рассасыванию спаек. Для снижения уровня холестерина применяются таблетки или инъекционные препараты.

Наталья Шнайдер, врач-невролог, доктор медицинских наук рассказывает о применении ноотропных препаратов:

Чтобы функциональность мозговых клеток поддерживалась на необходимом уровне, их нужно снабжать глюкозой и кислородом. Для этого больной употребляет ноотропные вещества: «Нистенон», «Пикамилон». Естественно, желательно также защитить клетки от негативного воздействия перепадов внутричерепного давления. В этом случае пациенту назначаются антиоксиданты.

Во время лечения понадобятся иммуномодуляторы, противовоспалительные, а также антибактериальные средства. Обычно больные лечатся таблетками на протяжении 10-12 недель. Лечебный курс повторяется примерно через полгода. Терапию назначает только врач. Он же принимает решение о целесообразности ее продления. Можно применять и народные средства, но необходимо также согласовать их применение.

Лечение

Если пациенту установлен диагноз замершей ликворной кисты с клинической компенсацией, то лечение ему не показано. В этом случае больной должен находиться на диспансерном учете у невролога с обязательным ежегодным прохождением МРТ.

При прогрессирующей кисте в стадии клинической субкомпенсации пациенту назначается консервативная терапия, направленная на понижение внутричерепного давления. При ее неэффективности показано хирургическое вмешательство. Выбор метода операции в каждом конкретном случае проводится нейрохирургом с учетом особенностей заболевания, возраста пациента, наличия или отсутствия у него сопутствующей патологии.

В настоящее время наиболее часто применяются следующие хирургические методики:

  1. Полное иссечение. Показанием к операции является разрыв капсулы или кровоизлияние в полость образования. Вмешательство достаточно травматичное, а восстановительный период длительный.
  2. Эндоскопическая фенестрация. В костях черепа при помощи фрезы делается небольшое отверстие. Через него выполняют пункцию и аспирацию жидкого содержимого новообразования с последующим созданием отверстий между его полостью и субарахноидальным пространством или желудочками головного мозга. После этого полость в арахноидальной оболочке уже не заполняется жидкостью и поэтому заболевание не прогрессирует.
  3. Кистоперитонеальное шунтирование. Суть данной операции состоит в том, что создается путь для оттока кистозного содержимого в брюшную полость, где оно всасывается в кровь.

Загадочная шишковидная железа, а в ней – киста

Особенной разновидностью кистозных образований в головном мозге считают кисту шишковидной железы, которая нам больше известна под названием – эпифиз. Какая миссия возложена на эпифиз в организме человека – до сих пор точно не выяснено. Ученые утверждают, что она:

  1. Продуцирует мелатонин, который участвует в регуляции циркадных (суточных) биоритмов, чтобы человек не запутался со сном и бодрствованием;
  2. Вносит свою лепту в процесс полового созревания;
  3. Влияет на рост опухолей (где-то ускоряет, где-то замедляет).

Диагностировать кисту этой маленькой железы стало возможным благодаря появлению современных методов нейровизуализации (например, МРТ). Раньше она считалась довольно редкой патологией и в числе всех заболеваний головного мозга имела всего лишь 1,5%. Сейчас многие авторы отмечают, что ее просто не находили по причине бессимптомного течения. МРТ и в настоящее время не все и не каждый день делают, поэтому во многих случаях киста шишковидной железы регистрируется как случайная находка, а у тех, которые не жалуются и целенаправленно не обследуются и вовсе считается, что ее нет.

Доброкачественное кистозное образование шишковидной железы, располагаясь в одной из долей этого загадочного органа, как правило, вреда ему особого не причиняет, на функциональных способностях не сказывается и обычно не склонно к быстрому росту. Специфических признаков киста эпифиза, подобно другим образованиям аналогичного рода, как правило, не дает, а если и появляется симптоматика, то ее легко можно отнести к другим заболеваниям головного мозга:

  • Головная боль, возникающая без причины и не имеющая системы, больной никогда не знает, когда у него заболит голова;
  • Приступ цефалгии может оказаться настолько сильным, что от нее появляется тошнота, а потом и рвота;
  • Возможно нарушение координации движений, что заметно отражается на походке больного;
  • Реакция органов зрения на приступы особенно существенна: глаза вверх закатить больно, размытость картинки, двоение и туман мешают рассмотреть окружающие предметы.

В редких случаях киста может тоже «показать свой характер». Это происходит, когда она быстро растет и, доходя до критического размера, начинает давить на соседние участки мозга, блокировать движение цереброспинальной жидкости и проявляться симптомами гидроцефалии с вытекающими отсюда последствиями.

Почему кистозное образование начало свой путь в шишковидной железе? На сегодняшний день выделяют две основные причины его появления там:

  1. По различным причинам закрывается выводящий канал и блокирует движение секрета железы, который остается и формирует себе место;
  2. С током крови в эпифиз попадает паразит – эхинококк, который «устраивается и обживается» на новом месте, формируя себе капсулу, защищающую от нападок иммунной системы. Продукты своей жизнедеятельности паразит выделяет в пределах своего «жилища», тем самым расширяя свои владения.

«Домик» для личинок паразита

Жизненный цикл эхинококка. Паразит поражает мозг, печень легкие и другие органы человека

Эхинококк – представитель гельминтов, личинки которого, попав в организм человека, который является промежуточным хозяином, расселяются в нем, образуя кисты в различных органах. Последние чаще локализуются где-нибудь в печени или легких, доставляя неудобства в первую очередь этим участкам, однако иногда с током крови они достигают головного мозга и поселяются в нем. Нередко привлекательным местом для паразита является шишковидная железа, в которой он пережидает личиночную стадию и для этого формирует кисты. Правда, попав в человеческий организм, который для паразита является тупиковой ветвью, гельминт останавливает свое развитие из-за невозможности переселения к постоянному хозяину.

Киста эпифиза, образованная эхинококком, дает более яркую симптоматику, к клиническим проявлениям, заставляющим заподозрить кисту, присоединяются психические расстройства (депрессия, бредовые состояния, деменция) и судорожные припадки.

Диагностируют эхинококковые кистозные образования с помощью тех же методов, что и другие кисты головного мозга (КТ, МРТ, биопсия, если остаются вопросы), правда, здесь может быть полезен общий анализ крови, в котором отмечается заметное повышение эозинофилов (эозинофилия) и СОЭ.

Удаление кисты хоть эхинококковой, хоть другой природы осуществляют хирургическим путем, если в этом возникает необходимость:

  • Развивается гидроцефалия;
  • Страдают другие структуры мозга и сосудистое русло.

Если киста ведет себя спокойно, склонности к росту не проявляет, симптомов не дает, за пациентом осуществляют наблюдение, которое заключается в ежегодном проведении МРТ и посещении невролога.

ГБОУ «НИКИО им. Л.И. Свержевского» Департамента здравоохранения города Москвы

Назальная ликворея представляет собой истечение цереброспинальной жидкости из полости носа вследствие повреждения костей основания черепа и твердой мозговой оболочки при нарушении герметичности подпаутинного пространства.

В связи с возникновением сообщения внешней среды с полостью черепа нелеченая ликворея приводит к гнойному менингиту в 10-25% случаев. Кроме того прогрессирующие снижение внутричерепного давления в результате ликвореи ведет к развитию атрофических процессов в головном мозге.

В 80-90% случаев назальная ликворея возникает в результате автодорожных или других черепно-мозговых травм, приблизительно в 15% случаев это заболевание носит ятрогенный характер. Необходимо отметить, что ятрогенная назальная ликворея в большей части зависит от опыта хирурга и знания анатомии. Спонтанная ликворея встречается редко – в 3-4% случаев Спонтанную назальную ликворею можно разделить на первичную (идиопатическую), явную причину которой установить невозможно и вторичную, когда к образованию ликворной фистулы приводит экстра и интракраниальная патология. Это хроническая внутричерепнная гипертензия, которая иногда приводит к резорбции кости, внутричерепные новообразования и дефект мозговых оболочек. К экстракраниальным относят хронические заболевания ОНП, опухоли ОНП и респираторные инфекции.

Основным симптомом заболевания принято считать выделение прозрачной светлой жидкости, как правило, из одной половины носа при наклоне головы вниз. Если цереброспинальная жидкость (ЦСЖ) выделяется вместе с кровью, то для распознавания ликвореи применяется классический “Halo”-тест. При этом на марле или постельном белье вокруг центрального кровянистого пятна образуется характерный светло-желтый ободок. Определенное значение имеет симптом “носового платка”. Этот признак объясняется наличием в цереброспинальной жидкости (ЦСЖ) большого количества белка, которого нет в катаральном отделяемом при рините. Платок, в который сморкается больной с ликвореей, становится более плотным и твердым. При явной назальной ликворее может также возникнуть такой симптом как ночной кашель за счет попадания цереброспинальной жидкости в трахею и бронхи в длительном положении больного на спине. Существуют разнообразные формы течения заболевания. При этом выделения из носа могут носить явный или скудный характер, быть постоянными или периодическими, ликвор может выделять из одной половины носа или обеих.

Само по себе выделение ликвора из носа доставляет явные неудобства для пациента, поскольку ограничивает как физическую так и социальную сферу деятельности. Тем не менее, основная опасность заключается в осложнениях, которые может вызвать заболевание. В первую очередь это касается менингита, который развивается за счет распространения воспалительного процесса из полости носа в полость черепа. Считается, что чем дольше длиться ликворея, тем более вероятно распространение процесса на внутричерепные образования. Менингит представляет собой воспаление оболочек мозга, которое нередко инвалидизирует больного и даже может привести к летальному исходу. Среди других серьезных осложнений назальной ликвореи можно назвать пневмоцефалию, когда внутрь черепа попадает воздух, бронхит и пневмонию при попадании ликвора в дыхательные пути и гастрит – если ликвор в большом количестве скапливается в желудке.

Диагностика явной назальной ликвореи достаточно проста. После наклона головы вниз из одной половины носа начинает капать прозрачная светлая жидкость. Если удается собрать около 1 мл. этих выделений, то необходимо определить в них уровень глюкозы. Это можно провести в любой клинической лаборатории. Повышенное содержание глюкозы указывает на ликворею, в противном случает диагноз может склоняться к вазомоторному или аллергическому риниту. Для определения места повреждения применяется достаточно большой набор специальных диагностических методик. Сюда входит компьютерная томография околоносовых пазух и полости черепа, компьютерная и магнитно-резонансная цистернография, радионуклидная цистернография.

Диагностика назальной ликвореи включает:

– тест на бета2-трансферрин в отделяемом из полости носа,

– КТ ОНП и передней черепной ямки с реконструкцией

– МРТ головного мозга для верификации менингоэнцефалоцеле и фистулы

– эндоскопическая ревизия полости носа

В сложных случаях рекомендуется проводить также радионуклидную сцинтиграфию. Чувствительность метода КТ для ликворной фистулы достаточно высока и составляет 87-88%, но точную локализацию разрыва твердой мозговой оболочки и назальную ликворею возможно установить только при эндоскопическом осмотре полости носа и околоносовых пазух.

Лечение

Основной задачей при лечении ликворного свища или энцефалоцеле является восстановление барьера между полостью носа и ОНП и интракраниальным пространством с наименьшим риском развития внутричерепной инфекции.

Эндоскопический эндоназальный доступ для пластики интраоперационных осложнений твердой мозговой оболочки впервые применил Виганд в 1981 году. Предшественником эндоскопической эндоназальной хирургии ликворных фистул был значительно более травматичный транскраниальный доступ, связанный с известными осложнениями и нежелательными явлениями – травма лобных долей, гипосмия, аносмия, длительная нетрудоспособность. По данным литературы при использовании интракраниального доступа рецидив ликвореи возникает в 27% случаев при первой операции и 10% после повторной.

Явным преимуществом эндоназального доступа является высокая эффективность, визуальный контроль выполняемых манипуляций, минимальная травматичность для пациентов и отсутствие кожных разрезов.

Для пластики ликворных свищей используются различные биологические и синтетические материалы: свободные и перемешенные на ножке лоскуты слизистой оболочки полости носа, фрагменты жира, фасции, мышцы, тахокомб, гидроксиапатит и др. Эффективность операции при малых размерах дефекта основания черепа (размером до 1 см) не зависит от применяемого пластического материала. При больших размерах дефекта рекомендуют 2-3 слойную пластику с применением биологических клеев (Bioglue, Tissucol и др.)

Нами разработаны:

  1. послойная пластика области дефекта тахокомбом, герметиком (Duraseal Bioglue, Tissucol), тахокомб и гемостатическая губка и/или салфетка суржецел;
  2. культя средней носовой раковины (свободный косно-слизистый лоскут нижней носовой раковины), слизисто-надкостничный лоскут перегородки носа, герметик (Duraseal Bioglue, Tissucol), тахокомб и гемостатическая губка и/или салфетка суржецел.

С целью контроля закрытия ликворного свища больным после операций пластики основания черепа возможно проведение инструментальных (радионуклидную, КТ- или МР-цистернографию), либо лабораторных исследований (тесты на β2-transferrin или β-trace protein) на предмет скрытой ликвореи. Инструментальная диагностика ликвореи у больных в ближайшие сроки после операции связана с объективными трудностями. Так, проведение сцинтиграфии, КТ- и МР-цистернографии требует эндолюмбального введения контрастного вещества и затем – положение больного на животе, лучше с небольшим наклоном головного конца каталки вниз для заполнения цистерн основания головного мозга в течение 30-40 минут. Уже сама подготовка к проведению исследования может спровоцировать рецидив ликвореи и потенциально, в раннем послеоперационном периоде, несет в себе больше вреда, чем пользы. Тесты на β2-трансферрин или β-trace protein являются высокочувствительными (чувствительность – 96 – 97 %) и нетравматичными.

Разновидности мозговых кист

К»Ã°ÃÂÃÂøÃÂøúðÃÂøàðÃÂðÃÂýþøôðûÃÂýÃÂàúøÃÂà÷ðòøÃÂøÃÂ:

  1. ÃÂàòÃÂõüõýø ÿþÃÂòûõýøÃÂ: üþöõàñÃÂÃÂàòÃÂþöôõýýþù øûø òþ÷ýøúýÃÂÃÂàýð ÿÃÂþÃÂÃÂöõýøø öø÷ýø.
  2. ÃÂàÃÂÃÂÃÂÃÂúÃÂÃÂÃÂÃÂ: ÿÃÂþÃÂÃÂþù (ø÷ úûõÃÂþú ðÃÂðÃÂýþøôðûÃÂýþù þñþûþÃÂúø) øûø ÃÂûþöýþù (ÃÂüõÃÂø ðÃÂðÃÂýþøôðûÃÂýÃÂàúûõÃÂþú ø ôÃÂÃÂóøàÃÂúðýõù).
  3. ÃÂàÃÂÃÂõÿõýø ÃÂð÷òøÃÂøÃÂ: ÿþûþÃÂÃÂø, ÃÂòõûøÃÂøòðÃÂÃÂøõÃÂàò ÃÂð÷üõÃÂðàøûø ÿÃÂõúÃÂðÃÂøòÃÂøõ ÃÂþÃÂÃÂ.

От редакции : Особенности затруднения венозного оттока

ÃÂÃÂòðõàø ÿþ üõÃÂÃÂàþñÃÂð÷þòðýøÃÂ: ðÃÂðÃÂýþøôðûÃÂýðà(ýð ÿþòõÃÂÃÂýþÃÂÃÂø üþ÷óð), ÃÂõÃÂÃÂþÃÂõûõñõûûÃÂÃÂýðà(ò óûÃÂñøýõ ÃÂõÃÂþóþ üþ÷óþòþóþ òõÃÂõÃÂÃÂòð).

ÃÂõÃÂÃÂþÿþûþöõýøõ úøÃÂàò óþûþòýþü üþ÷óõ:

  • ÷ðôýÃÂàÃÂõÃÂõÿýðàÃÂüúð;
  • ÿÃÂðòðàòøÃÂþÃÂýðàôþûÃÂ;
  • ûõòðàòøÃÂþÃÂýðàôþûÃÂ;
  • ÃÂõûàüõöôàÿþûÃÂÃÂðÃÂøÃÂüø;
  • ûþñýðàÃÂðÃÂÃÂÃÂ;
  • ÃÂõüõýýðàÃÂðÃÂÃÂÃÂ;
  • üþ÷öõÃÂþú;
  • ÃÂøÃÂúþòøôýðàöõûõ÷ð.

ÃÂÃÂðÃÂýþøôðûÃÂýðàúøÃÂÃÂð üþöõàÃÂÃÂþÃÂüøÃÂþòðÃÂÃÂÃÂàò ÃÂÿøýýþüþ÷óþòþü úðýðûõ, ýð úþýÃÂõ ýõÃÂòýþóþ þúþýÃÂðýøàò ÿþÃÂÃÂýøÃÂýþü þÃÂôõûõ, ò þñûðÃÂÃÂø úÃÂõÃÂÃÂÃÂð.

Чем поможет народная медицина

Задача народных средств такая же, что и традиционных – улучшить кровообращение, обмен веществ, устранить симптомы. Правильно подобранные рецепты помогут справиться с назойливой головной болью и даже могут затормозить рост полости.

В народной медицине принято использовать:

  1. Болиголов. Измельченные семена растения можно настоять в половине литра оливкового масла. Нужно перемешать и оставить средство на три недели там, где прохладно. Такой масляный раствор рекомендуется закапывать по 2 капли в нос 2-3 раза/день.
  2. Диоскореим кавказский (корень). 4 части корня нужно измельчить и залить водкой (1400мл). Настой заливают поэтапно. Сначала берут половину корней и заливают 700 мл водки в стеклянном сосуде. Нужно оставить его на 5 дней. Потом необходимо слить всю жидкость и залить корни свежей порцией водки (700 мл). Вновь оставить на 5 суток. Настой нужно принимать по чайной ложке трижды в день.
  3. Отвары малины, солодки, полыни, девясила, ромашки, календулы помогут снизить внутричерепное давление.

Почему-то многие считают, что народные средства безопасны. Это не так. Чтобы избежать неприятных последствий, нужно обязательно расспросить лечащего врача, можно ли конкретно вам их применять. Именно врач должен подбирать народное средство. В противном случае оно может не только не помочь, но и серьезно навредить. К тому же, некоторые лекарства несовместимы с травами или алкоголем.

Когда нужна консультация нейрохирурга

Новорожденные сегодня практически поголовно обследуются с помощью нейросонографии (УЗИ-исследования головного мозга). Во время этого исследования у младенцев часто находится та или иная киста. Если киста большая, специалисты, скорее всего, порекомендуют сделать МРТ. Если нет – будут наблюдать. Консультации у нейрохирурга требует быстро увеличивающаяся киста, или киста вызывающая эпиприступы или иную неврологическую симптоматику.

Если в возрасте нескольких месяцев у ранее здорового ребенка появляются признаки повышенного внутричерепного давления и на обследовании обнаруживается киста – необходимо хирургическое лечение.

Когда ребенка старшего возраста обследовали по поводу черепно-мозговой травмы и случайно нашли кисту – речь НЕ идет о хирургическом лечении.

Если обследование назначено в связи с задержкой речи, задержкой развития, то найденная киста – повод проконсультироваться с хирургом, чтобы понять связана ли эта киста с данной симптоматикой.

Когда ребенок школьного возраста обследуется в связи с появлением у него сильных головных болей, то найденную кисту необходимо обсудить с нейрохирургом. Возможно, операция поможет устранить причину этих болей.

Если ребенок, который занимается единоборствами или боксом проходит обязательное МРТ (юным спортсменам положено проходить обследование перед соревнованиями), в ходе которого у него случайно обнаруживается киста, необходимо получить у нейрохирурга консультацию о возможности занятий этими видами спорта. Киста без дополнительной симптоматики у детей старшего возраста обычно не опасна для жизни. Но имеет противопоказания для занятий контактными травмоопасными видами спорта, в первую очередь единоборствами и боксом, в меньшей степени футболом и хоккеем. Хирургического лечения такая киста не требует.

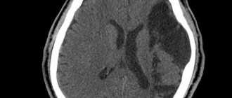
МРТ диагностика при арахноидальной кисте

Несмотря на то, что КТ позволяет точно определить размеры и расположение кисты, наиболее точную и полную информацию об образовании дает МРТ. Обычно для диагностики арахноидальной кисты проводится МРТ-сканирование с введением в кровоток пациента контраста. При этом опухоли мозга имеют свойство накапливать контраст, а кисты не впитывают его из кровеносных сосудов, что очень четко видно на МРТ.

Также МРТ-сканирование позволяет отличить кисту от кровоизлияний, гематом, гигром, абсцессов и других заболеваний со сходной симптоматикой. Кроме того, МРТ дает возможность выявить кисту даже в тех случаях, когда у пациента еще нет никаких проявлений, а сама киста имеет размеры всего в несколько миллиметров.

Сделать МРТ головного мозга в Санкт-Петербурге

Базовые признаки

Позвоночные кисты приобретенного и врожденного типа классифицируют по месту их формирования. Симптомы патологии во многом связаны с местонахождением псевдоопухоли, ее видом, размером, стадией роста. Иногда новообразование развивается длительно, не давая явных признаков, а иногда причиняет боль пациенту на ранних стадиях. Выраженность болевых ощущений определяется давлением кисты на спинномозговые корешки и ее близостью к нервным узлам.

Существуют основные признаки, которые развиваются при всех видах позвоночных доброкачественных опухолей:

  1. Острые и тупые боли, сконцентрированные в области кистозной капсулы, которые тревожат больного даже в покое, усиливаясь при движении. Обычно наблюдается отдача боли (иррадиация) в грудной и тазовый отдел, ягодицы и конечности.
  2. Корешковый синдром, который развивается при росте кист позвоночника, локализованных около корешка спинномозгового нерва и ганглий (нервных сплетений), которые сдавливаются по мере роста и смещения опухоли. Он проявляется:
  • болями и прострелами в совершенно разных отделах туловища — шее, руках, ногах, пояснице, крестце, за грудиной, в пищеводе, желудке, что определяется тем, какой нервный узел раздражен;
  • слабостью мышц и их атрофией (усыханием);
  • нарушением чувствительности в ногах и руках, а также в зоне пораженного корешка.
  1. Если сформировалась киста спинного мозга, то в процессе ее увеличения возникают неврологические проявления разной степени выраженности:
  • нарастание слабости в нижних конечностях, постепенная атрофия мышц, управляемыми пораженными спинномозговыми нервами;
  • нарушение чувствительности кожи к боли, холоду и жару из-за повреждения клеток, воспринимающих боль и температурные колебания;
  • ощущение жжения, холода мурашек, покалываний, онемения в руках, ногах, пальцах;
  • головные боли, звуковые нарушения слуха (шум, звон), головокружение, ощущение пульсации в голове, повышение кровяного давления;
  • двоение в глазах, ухудшение зрения, пятна и нити перед глазами;
  • внезапные потери сознания, приступы судорог;
  • нарушение работы кишечника и мочеполовой системы;
  • появление хромоты, расстройство координации движений, равновесия, изменение походки.

Симптомы

Клинические проявления ликворного кистозного образования включают в себя общемозговые и очаговые симптомы:

Группа симптомов Описание
Общемозговые Их развитие связано с нарастанием внутричерепного давления. У больного появляются стойкие головные боли, которые носят распирающий характер. Обычно они усиливаются в ночные часы и рано утром. На высоте болевого приступа возникает тошнота, может быть неоднократная рвота. Могут развиваться психические расстройства (психомоторное возбуждение, нарушение критических способностей). При осмотре глазного дна выявляют застойные явления.
Очаговые Вызываются местным поражением определенных мозговых структур.

При локализации образования в области лобных долей в большей степени страдает моторная функция и у пациента развивается мышечный гипертонус, появляется неустойчивость при ходьбе, возможно возникновение нарушений речи.

Поражения теменной доли характеризуются нарушениями восприятия и чувствительности.

Признаками повреждения височной доли являются галлюцинации, судорожный синдром, дефекты слухового восприятия.

Локализация ликворной кисты в области затылочных долей вызывает нарушение функций зрительного анализатора. При этой форме заболевания у пациента возникают такие симптомы, как корковая слепота, зрительная агнозия, зрительные иллюзии.

Причины

Если возникновению кист предшествовало сложное течение беременности у будущей матери, подобные дефекты ткани специалисты именуют первичными. Провоцирующими факторами выступают:

  • неконтролируемый прием женщиной медикаментов;
  • злоупотребления алкогольной продукцией;
  • перенесенные инфекционные болезни;
  • травмы живота.

Если же формирование опухоли произошло в постнеонатальном периоде жизни, то причинами могут стать:

  • нейроинфекции – к примеру, менингит, либо энцефалит, туберкулез или сифилис;
  • оперативные вмешательства на структурах мозга;
  • агенезия мозолистого тела – отсутствие анатомической единицы либо замена его на кисту;
  • черепно-мозговые травмы;
  • глистные инвазии;
  • внутримозговые кровотечения.

От редакции : Причины головной боли после алкоголя

Иногда арахноидальный пузырек выявляют в результате проведенных обследований, которые были выполнены по другим показаниям. Причины подобных образований достоверно неизвестны – человек сам не помнит, что могло послужить толчком к формированию внутримозговой полости.

Особенности терапии

Как правило, лечение кисты назначается только после проведения полного диагностического обследования, которое выполняется при помощи компьютерной или магнитно-резонансной томографии, позволяющей увидеть четкие контуры образований, определить их размеры, а также степень воздействия на окружающие ткани.

Следует иметь в виду, что наличие таких полостей совсем не обязательно связано с онкологическими заболеваниями и обычно хорошо поддается лечению. При магнитно-резонансном исследовании пациенту вводится специальное контрастное вещество, позволяющее определить, что именно находится у него в головном мозге: киста или злокачественная опухоль. МРТ рекомендуется проводить неоднократно, чтобы постоянно отслеживать динамику заболевания.

Способы лечения кисты головного мозга выбираются исходя из причин, в результате которых она возникло. Экстренная помощь обычно необходима в следующих случаях:

  • постоянно повторяющиеся судорожные припадки;
  • гидроцефалия;
  • быстрое увеличение размеров кисты;
  • кровоизлияния;
  • поражение структур мозга, расположенных рядом с кистой.

Как правило, нединамичные кисты головного мозга не требуют вмешательства, а динамичные лечатся при помощи лекарственных и хирургических методов.

Традиционное лечение предполагает применение различных медикаментозных препаратов, основным предназначением которых является устранение причин возникновения болезни. Врачи могут назначать пациентам лекарства, которые рассасывают спайки, например, такие, как карипаин или лонгидаза. Для того, чтобы восстановить кровообращение, они выписывают препараты, направленные на снижение концентрации холестерина, нормализацию артериального давления и свертываемости крови.

Обеспечить клетки головного мозга необходимым количеством кислорода и глюкозы можно при помощи ноотропов, например, таких, как пикамилон, пантогам, инстенон. Сделать клетки более устойчивыми к внутричерепному давлению помогут антиоксиданты. Кроме того, иногда используются иммуномодулирующие, антибактериальные и противовирусные средства, в которых возникает необходимость в случае выявления аутоиммунных и инфекционных болезней.

Появление арахноидита сигнализирует в первую очередь о том, что иммунитет пациента сильно ослаблен, именно поэтому необходимо активно заняться восстановлением защитных сил. Для того, чтобы подобрать последовательный и безопасный курс иммуномодулирующего и противоинфекционного лечения, нужно сдать анализ крови. Как правило, все медикаментозные средства назначаются курсами длительностью около трех месяцев с повторением два раза в год.

Берут ли в армию с кистой

Медицинская комиссия пользуется предписаниями статьи 23 Расписания болезней. Пункт «г» подробно расписывает освидетельствование призывников с врождёнными аномалиями мозга. Врождённая патология, никак себя не проявляющая, не вызывающая болей и не нарушающая функций, позволяет комиссии считать парня годным к несению службы по категории «Б-4». Он будет отдавать долг родине в определённом роде войск.

Сильное поражение нервной системы даёт право получить категорию годности «Д» или «В». Призывник получает освобождение, армия ему не светит.

Вторичный характер новообразования рассматривается по статье 25 Расписания болезней, исходя из которой присваиваются категории годности:

  • «Д»: не годен к службе.
  • «В»: ограничено годен, получение военного билета без несения службы, в мирное время не призывают. Получение данной категории возможно только в том случае, если человек состоит на учёте, проводит необходимые медицинские процедуры и лечение не помогает.

С кистой или без неё – жизнь продолжается. Только от ответственного отношения к ней зависит самочувствие человека. Что мешает вовремя, пару раз в год, проходить медицинский осмотр? Последствия халатности могут дорого обойтись. Время – один из главных факторов при обнаружении новообразований.

Образование полости в мозге

Рис2. Общий вид внутримозговой опухоли головного мозга с объёмным воздействием

1. На снимках опухоль характеризуется объёмным компонентом в процессе роста с увеличением собственной массы, так называемый признак «плюс ткань».

Рис3. Общий вид опухоли мозга в лобной доле на КТ

2. Опухоли мозга обладают эффектом массы, благодаря объёмному воздействий собственной стромы, смещая и раздвигая нормальные анатомические структуры мозга.

Рис4. Пример объёмного воздействия опухоли на мозолистое тело, представленного на МРТ тзображении

3. Для доброкачественных опухолей головного мозга типично наличие чётких границ на МРТ и КТ, так как они имеют капсулу, разграничивающую их от тканей головного мозга, так называемый экспансивный характер роста (в результате увеличения размеров смещают, отодвигают рядом расположенные отделы мозга), относительно медленные темпы роста и отсутствие метастазирования.

Рис5. пример доброкачественной опухоли (обозначена звёздочкой), с капсулой, экспансивным ростом и объёмным воздействием на МРТ

4. Для злокачественных опухолей головного мозга типично отсутствие чётких контуров и границ, напротив, их краёв не видно, они характеризуются инфильтративным типом роста (то есть распространяют свои клетки между клетками здоровой ткани — инфильтрация), некротический распад (в центре опухоль начинает пожирать саму себя за неимением питания, что приводит к области самопереваривания центральных участков опухоли), высокие темпы роста и развития (скоротечный драматический исход) и метастазирование (распространением опухоли в соседние участки мозга по оболочка и по спинно-мозговой жидкости).

Рис6. Злокачественная опухоль левой лобной доли с отёком, некротическим распадом и без отчётливых границ

5. На снимках МРТ и КТ опухоли головного мозга в большинстве случаев накапливают контрастный препарат после внутривенного контрастного усиления, что является признаком, характерным для опухолей, хотя некоторые опухоли не накапливают контраст, но это более характерно для начальных стадий образований.

6. Опухоль изменяет МР-сигнал, становится ярче или темнее вещества головного мозга, так как состоит из отдельного типа ткани, хотя встречаются опухоли «не видимые» на визуализации или не видимые без контраста. На МРТ почти все опухоли мозга видны, на КТ могут быть пропущены.

Рис7. Пример изменения яркости (МР-сигнала) на томографии в участке мозга, пораженном опухолью

7. Перифокальный отёк – черта не только опухоли головного мозга, но весьма характерна для опухолевых образований, поражающих вещество мозга. Отёк увеличивает масс-эффект опухоли, приводит к повышению внутричерепного давления и может вызвать смещение структур головного мозга или их защемление в анатомически узких местах (вклинение).

Рис8. Выраженный перифокальный отёк вещества головного мозга, окружающего опухоль на снимке МРТ

В связи с тем, что опухоли головного мозга не всегда представлены яйцевидными округлыми образованиями, как привыкли воспринимать их пациенты, а иные патологические процессы в тканях организма могут приводить именно к подобного рода фигурам, диагностика становится достаточно трудной и подчас требует незаурядных знаний и опыта.

Кисты в головном мозге — это доброкачественные новообразования, представляющие собой пузырь с жидким содержимым внутри. С подобной проблемой сталкиваются маленькие дети и взрослые. Что такое киста, известно не каждому.

От редакции : Причины, виды, симптомы и лечение инсультов с кровоизлиянием

Они локализуются как в левом полушарии, так и в правом. От этого во многом зависит клиническая картина болезни. Врожденная киста чаще всего проявляется в возрасте 30-50 лет. Рост этих новообразований может быть быстрым и медленным.

В последнем случае нередко применяется выжидательная тактика. Киста в головном мозге бывает арахноидальный (расположена в области паутинной оболочки) и внутримозговой.В зависимости от локализации выделяют следующие виды новообразования:

  • шишковидной железы;
  • дермоидные;
  • сосудистого сплетения;
  • коллоидные.

Классификация

Существует несколько классификаций арахноидита. На основе установленной причины арахноидит бывает посттравматическим, инфекционным (ревматическим, постгриппозным, тонзилогенным) и токсическим, от типа изменений — кистозный, слипчиво-кистозный, ограниченный и диффузный, одноочаговый и многоочаговый.

В зависимости от клинической картины и течения различают острый, подострый и хронический арахноидит, но для диагностики наиболее важно определить место локализации арахноидита и спрогнозировать картину воздействия и последствия оболочечных поражений.

В зависимости от преимущественного места локализации и вовлеченных в патологию структур, арахноидит может быть различного типа: церебральный, базальный, оптико-хиазмальный, мостомозжечковый, предмозжечковый, спинальный и пр.

Церебральный арахноидит

Церебральный тип арахноидита обычно охватывает оболочки головного мозга передних отделов больших полушарий и областей центральных извилин, поражая не только архноид эндотелий, но и структуры мягкого мозгового слоя с образованием спаек между ними. В результате спаечного процесса образуются кисты с ликвороподобным содержимым. Утолщение и уплотнение кист может привести к ксантохромным опухолевидным образованиям с содержанием большого количества белка, что может проявиться развитием эпилептического статуса.

Арахноидальная киста головного мозга

Оптико-хиазмальный арахноидит

Наиболее часто локализуется в хиазмальной области и поражает основание мозга, вовлекая в патологию зрительные нервы и их перекрест. Этому способствуют черепно-мозговые травмы (сотрясение или ушиб мозга), инфекционные процессы в придаточных пазухах носа, а также такие заболевания как ангина, сифилис или малярия. Её результатом может быть необратимая потеря зрения, которая начинается с болей сзади глазных яблок и ухудшения зрения, которое может приводить к одно- и двусторонней темпоральной гемианопсии, центральной скотоме, концентрическому сужению полей зрения.

Развитие патологии медленное и не строго локальное, оно может распространяться и на отдаленные от хиазмы участки, обычно сопровождается образованием множественных спаек, кист и даже формирование рубцовой оболочки в области хиазмы. Негативное воздействие на зрительные нервы вызывает их атрофию – полную или частичную, что обеспечивается механическим сдавливанием спайками, образованием застойных сосков и расстройством циркуляции крови (ишемией). При этом изначально в большей мере страдает один из глаз, а спустя несколько месяцев вовлекается и второй.

Спинальный арахноидит

Помимо указанных общеизвестных причин спинальный арахноидит спинальный может быть вызван фурункулезом и гнойными абсцессами различной локализации. При этом кистозные ограниченные образования вызывают симптомы аналогичные экстрамедуллярной опухоли, симптомы компрессии структур спинного мозга, а также корешковый синдром и проводниковые нарушения, как двигательные, так и чувствительные.

Хронические воспалительные процессы вызывают белково-клеточную диссоциацию спинномозговой жидкости и чаще затрагивают заднюю поверхность спинного мозга грудного, поясничного отдела или конского хвоста. Они могут распространяться на несколько корешков или при диффузных поражениях — на большое количество, изменяя нижнюю границу расстройства чувствительности.

Спинальный архноидит может выражаться:

  • в виде покалываний, онемения, слабости в ногах, необычных ощущений в конечностях;
  • возникновение судорог в ногах, мышечных спазмов, самопроизвольных подергиваний;
  • в форме расстройства (повышения, выпадения) таких рефлексов как коленные, пяточные;
  • приступы сильной стреляющей боли как удары током или напротив – ноющей боли в пояснице;
  • нарушение работы органов таза, в том числе снижение потенции.

Раздражение и сдавливание коры и близлежащих отделов мозга при арахноидите может осложняться образованием кисты различного типа – ретроцеребеллярной, ликворной, левой либо правой височной области.

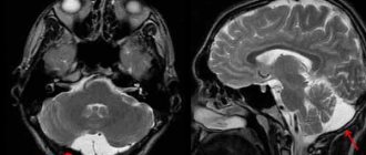
Ретроцеребеллярная арахноидальная киста

Ретроцеребеллярная киста формируется при смещении сосудистого сплетения четвертого желудочка вверх и назад от интактного червеобразного отдела мозжечка. Для выявления такого типа кист приблизительно одинаково информативными являются КТ и МРТ.

Арахноидальная ликворная киста

Принято различать внутримозговые и субарахноидальные ликворные кисты, первые чаще встречаются у взрослых, а вторые – более характерны для пациентов детского возраста, что очень опасно и вызывает отставание в психическом развитии.

Ликворные кисты сформированы арахноид эндотелием либо рубцовым коллагеном, заполнены спинномозговой жидкостью. Они могут быть врожденными или образовываться при резорбции интрацеребральных кровоизлияний, очагов ушибов и разможжения головного мозга, в зоне ишемического размягчения после травм. Для них характерно длительное ремиттирующее течение, инициирующее эпилептические припадки разные по структуре, длительности и частоте.

Ликворная киста также может возникнуть в результате субарахноидального кровоизлияния или при реактивном слипчивом лептоменингите.

Арахноидальная киста правой височной области

Киста правой височной области может вызывать головные боли, ощущение пульсирования, сдавливания головы, шумы в ухе, приступы тошноты, судороги, раскоординацию движений.

Арахноидальные кисты бывают замершие, имеют стабильность и чаще всего не вызывают дискомфорта или общемозговых нарушений. Бессимптомное течение может привести к тому, что образование обнаружится лишь во время томографии мозга при подозрении на арахноидит.

Арахноидальная киста левой височной доли

Если киста левой височной доли прогрессирующая, то она может постепенно усиливать очаговые симптомов в связи с давлением на мозг. Обычно она располагается в области левой височной доли и выглядит как расширение внешнего ликворного пространства.

Когда пациент узнает информацию о кисте левой височной области, то часто выясняется, что это не смертельно и может не вызывать негативных симптомов. Однако, в ряде случаев есть риск развития нарушений речи (сенсорной афазии), выпадений полей зрения, внезапных судорог конечностей или всего тела.

Другие виды кист мозга

Также часто встречаются и такие виды кист:

  • Киста эпифиза головного мозга, симптомами которой являются сильные головные боли, сонливость, дезориентация, раздвоение в глазах. Также она затрудняет процесс ходьбы. На начальной стадии болезни применяют медикаментозное лечение. Запущенную кисту, увеличивающуюся в размерах, удаляют хирургическим путем.
  • Киста сплетений сосудов – это доброкачественное новообразование, которое проявляется на отдельных стадиях развития плода в утробе матери. Такая киста головного мозга у ребенка чаще всего рассасывается самостоятельно. В некоторых случаях киста головного мозга у новорожденного возникает в результате осложнений при беременности и во время родов. К ней может привести и инфекционное заражение плода. В редких случаях это образование приводит к патологическим изменениям других систем организма. Врожденная киста головного мозга определяется с помощью процедуры, называемой нейросографией. Она абсолютно безвредна для здоровья ребенка. Диагностику такой кисты у взрослых людей производят с помощью исследования ультразвуком.
  • Псевдокиста головного мозга у новорожденных встречается у 1% недоношенных детей. Ее выявляют при проведении УЗИ в первые 24 часа жизни ребенка. Данная киста головного мозга у плода возникает в результате кровоизлияния зародышевой матрицы. Она может быть односторонней или двусторонней. Псевдокисты являются наиболее безопасным для здоровья последствием родов. Они не требуют специального лечения. Как правило, уже к первому году жизни ребенка они полностью рассасываются.
  • Ликворная киста головного мозга — новообразование, возникшее между мозговыми оболочками. Ее образованию способствуют воспалительные процессы (менингит, инсульт), травмы и хирургическое вмешательство. Она диагностируется во взрослом возрасте, поскольку на ранних стадиях ее признаки практически не выражены. Симптомы ликворной кисты: тошнота, рвота, психические расстройства, нарушение координации, судороги, паралич конечностей.
  • Субэпендимальная киста возникает у новорожденных после нарушения кровообращения головного мозга или при гипоксии (недостаточного снабжения мозга кислородом). Это заболевание требует врачебного контроля.
  • Порэнцефалическая киста головного мозга – образование, возникающеев его тканях вследствие расплавления пораженной области. Она приводит к весьма серьезным последствиям таким, как гидроцефалия и шизэнцефалия.
  • Лакунарная киста образовывается в области варолиевого моста, в мозжечке, подкорковых узлах, зрительных буграх. Чаще всего она возникает в результате возрастных изменений и атеросклероза.
  • Коллоидальная киста имеет врожденное происхождение. Она появляется в результате эмбиогенеза. Она может быть у человека всю жизнь, но при этом не доставляет ему никаких проблем. Есть мнение, что она носит наследственный характер. Эта киста блокирует поток жидкости. Она часто сопровождается головной болью, эпилептическими припадками, слабостью в ногах и высоким внутричерепным давлением. Наиболее ярко симптомы этого заболевания проявляются в зрелом возрасте. Иногда это заболевание является причиной возникновения гидроцефалии, мозговой грыжи. В редких случаях она приводит к летальному исходу.

Коллоидальная киста

Кисты разных отделов головного мозга

В некоторых случаях медики диагностируют следующие заболевания:

  • Киста гипофиза головного мозга – доброкачественное образование. Оно появляется, в основном у людей в возрасте 30-40 лет. Практически не бывает кисты гипофиза у детей и подростков. Это заболевание опасно тем, что новообразование затрагивает центральную нервную систему. Чаще всего такую кисту удаляют хирургическим путем.
  • Киста мозжечка головного мозга может возникнуть по ряду причин. Чаще всего ее лечение направлено на рассасывание спаек. Если киста образовалась в результате аутоиммунных процессов или инфекции, понадобится противовоспалительная терапия. Хирургическое вмешательство производят при наличии признаков кровоизлияния, судорог, нарушении координации движения. В большинстве случаев это заболевание полностью излечивается.

Диагностика и лечение ликворной кисты

Точная диагностика ликворной кисты возможна только при использовании инструментальных методов исследования, так как симптомов или совсем нет, или они соответствуют не только кисте, но и любому другому объемному процессу, окклюзионной гидроцефалии и другим нарушениям в черепе. Невролог назначает:

  • КТ и/или МРТ;
  • электроэнцефалографию при судорогах;
  • УЗИ головного мозга и его сосудистой системы (чаще — у малышей первого года жизни).

МРТ с контрастированием — один из лучших способов не только диагностики кисты, но и исключения опухоли, кровоизлияния, абсцесса. УЗИ, или эхоэнцефалография, обычно применяется у малышей и проводится через еще не закрывшийся родничок.

Мелкая ликворная киста подлежит лишь наблюдению, лечение не проводится ввиду отсутствия симптоматики. Ежегодно таким пациентам проводится томография мозга, чтобы удостовериться, что киста не растет либо зафиксировать ее изменения.

Ликворная киста больших размеров, вызывающая гидроцефалию или сдавливающая мозговую ткань, не поддающаяся консервативному лечению, а также активно растущая, требует оперативного лечения, которое включает несколько способов декомпрессии черепа:

  • Шунтирующие операции;
  • Фенестрацию;
  • Игольную аспирацию избытка жидкости.


шунтирование для оттока излишнего ликвора

На место открытой трепанации в последнее время все чаще приходят эндоскопические вмешательства, отличающиеся меньшей травматичностью и риском осложнений. Открытая трепанация обязательно проводится в случае, когда в полость ликворной кисты излилась кровь.

Фенестрация — это нейроэндоскопическое вмешательство по удалению излишка жидкости из ликворной кисты головного мозга. В ходе фенестрации создается соединение с желудочками мозга или субарахноидальным пространством.

Шунтирующие операции при ликворной кисте с окклюзионной гидроцефалией направлены на удаление жидкости, которая перенаправляется в полость живота или плевры через специально установленную шунтирующую систему.

Симптоматическое лечение ликворной кисты включает противосудорожные средства, ноотропы, диуретики. Назначаются сосудистые средства, нейропротекторы, а также антидепрессанты и транквилизаторы.

Все возрасты покорны: кисты у грудничков

У новорожденных кистозные образования сформировались либо в период внутриутробного развития, либо появились в результате родовой травмы. Эти же причины предшествуют появлению кист у малышей грудного возраста, а, кроме этого, прибавляются новые предпосылки, например, инфекционно-воспалительные процессы или гематомы, полученные в результате травм, которые оборачиваются недостаточностью мозгового кровообращения, приводящей к гипоксии и ишемии, а, следовательно, к гибели нейронов на каком-то участке головного мозга (место формирования кисты).

Последующая дегенерация нервной ткани, ее омертвение послужит хорошим местом для формирования полости, которая начнет накапливать жидкость, увеличиваться и сдавливать соседние участки и ликворопроводящие пути. Это, скорее всего, выльется в гидроцефалию и даст определенную неврологическую симптоматику, задержку роста и развития ребенка.

Киста в детской головке может образоваться в любом месте, в связи с этим выделяют основные виды кистозных образований, локализованных в головном мозге:

  • Арахноидальная киста, возникающая в результате травм и воспалительных процессов. Местом обитания может быть любой участок мозга, отличается бурным ростом, проявляется гидроцефалией с характерной ей симптоматикой.
  • К наиболее тяжелым формам кистозного процесса относится субэпендимальная киста. Ее причиной является недостаточность кровообращения в головном мозге с последующей ишемией. Такая киста требует повышенного внимания к себе и постоянного наблюдения за ребенком (МРТ ежегодно, чтобы не пропустить чрезмерный рост)
  • Киста сосудистого сплетения, которая развивается у плода и к появлению малыша на свет, как правило, благополучно исчезает.

кисты сосудистых сплетений (на снимке) – в большинстве случаев не требующее беспокойства явление

Диагностируют кистозный процесс в раннем младенчестве с помощью нейросонографии (ультразвуковое исследование), а удаление кисты осуществляют хирургическим путем.

Разновидности кисты позвоночника

По происхождению кисты позвоночника делятся на:

  • врожденные,
  • приобретенные.

В зависимости от морфологических особенностей (структуры стенки) киста может быть:

  • истинная (внутри кистозного образования есть эпителиальная подкладка)
  • ложная (эпителиальная подкладка отсутствует)
  • Размер, расположение и форма кисты позвоночника варьируются в зависимости от генеза образования.

    Кисты позвоночника подразделяются на морфологические типы:

  • Ганглионарная. Такое образование не имеет синовиальной оболочки внутри полостного слоя эндотелиальных клеток. По мере роста опухоль постепенно отделяется от кости.
  • Периартикулярная киста.

Периартикулярная киста позвоночника образуется в области межпозвонковых (фасеточных) суставов. Часто формируется из-за травм или дегенеративных расстройств (у пожилых людей). Чаще всего, образуется в фасеточных суставах поясничного и грудного отделов позвоночника. После формирования периартикулярная киста выходит за пределы полости фасеточных суставов . Периартикулярная киста позвоночника является причиной корешкового синдрома почти 1% случаев . В зависимости от присутствия синовиального эпителия, переартикулярная киста подразделяется на: ганглиональную и синовиальную .

Периневральная киста позвоночника.

Периневральная киста позвоночника обнаруживается почти в 7% случаев от всех кистозных образований. Часто эта киста имеет врожденный генез, из-за нарушения развития позвоночника в эмбриональном периоде — в просвете спинного канала отмечается некоторое выпячивание спинного мозга. Если это небольшое выпячивание, то оно не проявляется клинически. Если же выпячивание большого размера, то происходит компрессия спинномозговых нервов с соответствующей симптоматикой, которая может проявиться уже в детстве.

Аневризмальная киста.

Аневризмальная киста позвоночника представляет полостное образование внутри костной ткани позвонка, которая постепенно увеличивается и заполнено венозной кровью. Это серьезная патология встречается достаточно редко, ассоциирована с опухолеподобными заболеваниями и нередко приводит к выраженным переломам позвонков. Киста развивается чаще в детстве, главным образом у девочек. Причиной формирования аневризмальной кисты обычно является травма.

Арахноидальная киста. Арахноидальная киста позвоночника (киста Тарлова) это полостное образование, стенки которой выстланы паутинной оболочкой спинного мозга. При размерах более 15 мм, она может оказывать компрессионное воздействие на нервные корешки и спинной мозг, что будет проявляться характерной симптоматикой.

Ликворная киста позвоночника

Ликворная киста позвоночника – это полость, внутри которой находится ликворная жидкость, эта жидкость, которая циркулирует в пространстве спинного мозга. Клинически ликворная киста будет проявляться в зависимости от уровня ее расположения в позвоночнике, и неврологического дефицита ниже уровня локализации кисты .

Кисты в поясничном и крестцовом отделе. При небольших размерах не проявляются клинически . При увеличении размеров возникают симптомы и функциональный неврологический дефицит, в зависимости от того, какой корешок компримирован.

Рейтинг
( 2 оценки, среднее 4.5 из 5 )
Понравилась статья? Поделиться с друзьями:
Для любых предложений по сайту: logopedkursk@cp9.ru