СДВГ у взрослых: что это, симптомы, диагностика, лечение
 By: Администратор | Tags: Диагностика СДВГ, Лечение СДВГ, Причины СДВГ, СДВГ, Синдром дефицита внимания и гиперактивности | Comments: | 21 июля, 2021
Синдром дефицита внимания с гиперактивностью (СДВГ) — это состояние, которое влияет на концентрацию, память и поведение. Когда-то считалось, что дети с этим заболеванием перерастают это состояние, но сейчас признано, что у многих патология остается на всю жизнь.
По статистике, данное расстройство поражает примерно одного из 20 взрослых, в основном мужчин. Диагностируется болезнь обычно в детстве, но некоторые люди не имеют диагноза. Трудоспособным людям гораздо сложнее преодолеть расстройство, так как управление повседневными делами затрудняется, особенно задачами, которые требуют организации, планирования и сосредоточенности. Помимо прочего, многие начинают пить, курить и употреблять психотропные вещества.
Особенности СДВГ у взрослых
Недостаток сосредоточенности и концентрации является неврологическим состоянием. Исследования сканирования мозга показывают, что люди с этой патологией имеют нейронные цепи, которые немного другие, чем у обычных людей. Физические и химические различия в мозге влияют на исполнительное функционирование. Это означает, что людям с синдромом гиперактивности гораздо сложнее сконцентрироваться и отрегулировать свое поведение.
Основными особенностями являются:
- трудности с заинтересованностью (например, на работе во время разговоров или личных отношений);
- гиперактивность (например, ерзание или неспособность сидеть неподвижно, много говорить, чересчур активно жестикулировать);
- импульсивность (например, прерывание разговора, неспособность ждать в очереди).
От чего возникает СДВГ?
В основе формирования СДВГ лежат нейробиологические факторы: генетические механизмы и перинатальное повреждение центральной нервной системы (поражение головного и спинного мозга, возникающее в процессе беременности, родов и раннего послеродового периода), которые могут сочетаться друг с другом. Именно они определяют изменения со стороны функционирования нервной системы и нарушения высших психических функций и поведения, соответствующие картине синдрома.
Во многих случаях дополнительное воздействие на детей с СДВГ оказывают негативные социально-психологические факторы (прежде всего — внутрисемейные), которые сами по себе не вызывают развития СДВГ, но всегда способствуют усилению отмечающихся у ребенка симптомов и трудностей адаптации.
Нарушения, сопутствующие СДВГ (так называемые, коморбидные расстройства).
Дополнительные сложности внутрисемейной, школьной и социальной адаптации у детей с СДВГ могут быть связаны с формированием сопутствующих нарушений, которые развиваются на фоне СДВГ как основного заболевания не менее чем у 70% пациентов. Коморбидные расстройства при СДВГ представлены следующими группами: оппозиционно-вызывающим поведением, тревожными расстройствами, расстройствами настроения, нарушения развития речи, трудностями обучения, недостаточностью координации, неловкостью, тиками). Другими сопутствующими СДВГ расстройствами могут быть нарушения сна, и непроизвольное мочеиспускание во сне.
Причины возникновения расстройства
СДВГ не вызвано плохим воспитанием, большим количеством сахара, пищевых добавок, отсутствием отцов или вакцинами. Это все мифы. Чаще всего, синдром дефицита внимания — это генетическое заболевание. Шанс, что ребенок унаследует болезнь от одного родителя, у которого есть генетическая предрасположенность — 70–80%.
Но есть еще ряд других факторов, которые способствуют развитию паталогии:
- черепно-мозговая травма или инфекция;
- недостаток кислорода или влияние алкоголя или никотина до рождения;
- преждевременные роды;
- тяжелые переживания в раннем детстве.
Диагностика гиперактивности
Малыши, у которых предполагается СДВГ, находятся под постоянным контролем лечащего педиатра. При этом неврологический диагноз не устанавливается ранее 5-7 лет. Это вызвано особенностью развития дошкольников. Детские психологи стараются проводить диагностирование только после завершения переходных возрастных кризисов 3 и 7 лет.
Диагностика проводится детским психологом совместно с неврологом и педиатром. Консультация нескольких специалистов позволяет исключить другие диагнозы, приводящие к повышенной активности и возбудимости. Также во время диагностики врачи успокаивают родителей, что повышенная возбудимость их малыша, его непоседливость, является только проявлением характера.
Контроль состояния малыша проводится с первых недель жизни. В случае подозрения наличия гиперактивности, врач проводит тщательный анализ поведения ребенка в повседневной жизни.
Диагностика включает три этапа:
- беседу детского психолога с родителями малыша;
- проведение исследований;
- получение консультации у лечащего малыша педиатра.
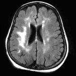
Для подтверждения диагноза в условиях стационара проводится ЭЭГ, РЭГ, М-Эхо, МРТ. Перед проведением исследований ребенка рекомендуется занять интересной игрой. Можно давать легкое успокоительное.
Как определить симптомы СДВГ у взрослых
Ключевые симптомы этой болезни — невнимательность, гиперактивность, импульсивность, но это весьма ограниченный перечень. Стоит рассмотреть детально, как проявляются симптомы диагноза.
Примеры симптомов невнимательности:
- неспособность сосредоточиться на задаче в течение длительного времени;
- дезорганизация (например, не получается регулярно пользоваться дневниками или календарями);
- постоянная забывчивость (вещей, что произошло сегодня днем и т.д.);
- легкая отвлекаемость человека и его невозможность вернуться к предыдущей задаче;
- задержка в выполнении заданий и постоянная неорганизованность;
- чрезмерная неуклюжесть;
- засыпание на уроках или собраниях;
- плохое управление временем.
Некоторые люди с СДВГ могут контролировать себя и сосредоточиться, когда им действительно что-то нравится. Но потеря концентрации происходит также тогда, когда им становится скучно. В этом случае проявляется гиперактивность, которую сложно контролировать.
Примеры симптомов гиперактивности:
- больной кажется все время взволнованным или нервным — на работе это может проявиться в любой день: как в день сдачи отчета руководителю, так и в самый обычный день или во время корпоратива;
- быть неспособным сидеть неподвижно и концентрироваться — мысли рассеиваются и человек берется за множество задач, не доводя до конца;
- говорить без перерыва, не замечая окружающих;
- быстрый поток мыслей или быть не в состоянии перестать думать — один из не явных симптомов;
- постоянные проблемы со сном.
Стоит также упомянуть отдельную симптоматику диагноза СДВГ у взрослых — чрезмерная импульсивность:
- человек не учитывает последствия своих действий;
- постоянно перебивает других людей;
- берет на себя то, что делает кто-то другой;
- часто меняет работу;
- употребляет наркотические вещества и алкоголь в больших дозах;
- слишком вспыльчивый и раздражительный.
Основные проявления
В международной классификации болезней есть целый раздел, посвященный СДВГ. Диагнозы различаются по наличию и преобладанию симптомов патологии, но в большей части они касаются детей, поскольку большинство из этих проявлений исчезают по мере взросления. Прежде всего, это касается гиперактивности.
У взрослых людей она проявляется редко. Это объясняется тем, что организм человека полностью меняется после полового созревания, и его энергетический ресурс становится ограниченным. Но, в то же время, после совершеннолетия возникают новые симптомы СДВГ. Среди них наиболее ярко проявляется неустойчивость внимания. Таким людям очень сложно выполнять ежедневные обязанности, например, производить уборку в доме, готовить еду, сортировать вещи и раскладывать их по своим местам.
Люди с СДВГ склонны провоцировать конфликты. Постоянные ссоры становятся причиной разрушения семьи. Определить, что у взрослого человека есть СДВГ можно по таким признакам:
- сложности с выполнением рутинных дел, таких как, уборка или готовка еды. В быту такие люди дезорганизованы, они рассеяны, легко отвлекаются на посторонние дела и постоянно опаздывают;
- неспособность составлять и контролировать собственный бюджет, а также своевременно оплачивать коммунальные и другие счета. Люди с СДВГ не умеют копить деньги и рационально их использовать;
- отсутствие умения выслушивать собеседника до конца;
- отсутствие тактичности при общении с другими людьми. Человеку с данным видом расстройства сложно сдерживать спонтанные высказывания, они крайне импульсивны;
- забывчивость, которая проявляется в невозможности регулярно принимать лекарственные препараты;
- отсутствие интересов и хобби. Синдром дефицита внимания у взрослых проявляется в неспособности концентрироваться на работе и заниматься одним видом деятельности на протяжении длительного времени;
- возникают постоянные трудности при планировании своей деятельности, а также при последующем выполнении задуманного. У пациентов с синдромом дефицита внимания практически всегда отсутствуют долгосрочные планы;
- невозможность составить отчет, сделать вывод или заключение. Неспособность анализировать что-либо.
Все эти проявления заболевания негативно сказываются на работе человека. Невозможность концентрироваться на выполнении рабочих обязанностей и важных поручений не позволяет продвигаться по карьерной лестнице и достигать высот в профессии. Несдержанность и импульсивность, а также отсутствие такта, осложняет отношение с коллегами и начальством. По этой же причине могут возникать конфликты в семье с близкими людьми.
При СДВГ могут возникнуть трудности с вождением автомобиля, поскольку такие люди не могут концентрировать свое внимание на дороге, при этом замечать всех участников движения, дорожные знаки, сопоставлять картинки с зеркал обзора, оценивать ситуацию и осуществлять необходимые в этот момент действия.
Сказывается синдром и на интимной сфере, особенно это касается женщин. Достичь оргазма им при этом расстройстве практически невозможно. В ходе полового акта нужно полностью сконцентрироваться на происходящем и своих ощущениях, а СДВГ не позволяет этого сделать.
Неимоверно сложно взрослому человеку с СДВГ читать книги и смотреть фильмы, особенно если сюжет не захватывает с первых слов или секунд. У таких людей попросту не хватает терпения, они утрачивают интерес к истории уже после нескольких минут.
Методы диагностики СДВГ
Диагноз должен быть поставлен специалистом по психическому здоровью с опытом лечения, но также необходимо дополнительные обследования, среди них:
- консультации психотерапевта и психиатра;
- электроэнцефалография (ЭЭГ);
- сканирования мозга (МРТ);
- ультразвуковая допплерография сосудов (УЗДГ).
Как правило, взрослые имеют этот диагноз, только если есть доказательства того, что у них были симптомы в детстве. Признаки также должны присутствовать в более чем одной ситуации (например, на работе и дома) и влиять на повседневную жизнь. Показательно наличие от 5 симптомов в пределах полугода. Если вы обнаружили такое количество симптомов следует обязательно обратиться к врачу.
Причины СДВГ
Достоверной и единственной причины синдрома до сих пор не найдено, расстройство полиэтиологично, т.е. сочетает несколько вредоносных факторов. Считается, что в основе формирования СДВГ лежат нейробиологические факторы: генетические механизмы и раннее органическое повреждение центральной нервной системы, которые могут сочетаться друг с другом. Именно они определяют изменения со стороны ЦНС, нарушения высших психических функций и поведения, соответствующие картине СДВГ. Во многих случаях дополнительное воздействие на детей с СДВГ оказывают негативные социально-психологические факторы (прежде всего — внутрисемейные), которые сами по себе не вызывают развития СДВГ, но всегда способствуют усилению отмечающихся у ребенка симптомов и трудностей адаптации.
Генетические механизмы. К числу генов, детерминирующих предрасположенность к развитию СДВГ относятся гены, регулирующие обмен нейромедиаторов в мозге, в частности дофамина и норадреналина. СДВГ считается полигенным расстройством, при котором одновременно существующие многочисленные нарушения процессов обмена дофамина и/или норадреналина обусловлены влияниями нескольких генов, перекрывающими защитное действие компенсаторных механизмов.
Пре- и перинатальным факторам отводится важная роль в патогенезе СДВГ. Формированию СДВГ могут предшествовать нарушения течения беременности и родов, в частности гестозы, эклампсия, первая по счету беременность, возраст матери моложе 20 лет или старше 40 лет, длительное течение родов, переношенная беременность и недоношенность, низкая масса тела при рождении, морфофункциональная незрелость, гипоксически-ишемическая энцефалопатия, заболевание ребенка на первом году жизни. Другими факторами риска являются употребление матерью во время беременности некоторых лекарственных препаратов, алкоголя и курение.
Нейропсихологические механизмы СДВГ рассматриваются с позиций нарушений (незрелости) функций лобных долей головного мозга, прежде всего — префронтальной области. Проявления СДВГ анализируются с позиций дефицита функций лобных и префронтальных отделов мозга и недостаточной сформированности управляющих функций (УФ). Пациенты с СДВГ обнаруживают «управляющую дисфункцию». Развитие УФ и созревание префронтальной области мозга представляют собой длительные процессы. Значимыми компонентами УФ, которые страдают при СДВГ, являются: контроль импульсов, поведенческое торможение (сдерживание); организация, планирование, управление психическими процессами; поддержание внимания, удерживание от отвлекающих факторов; внутренняя речь; рабочая (оперативная) память; предвидение, прогнозирование, взгляд в будущее; ретроспективная оценка прошедших событий, допущенных ошибок; изменение, гибкость, способность к переключению и пересмотру планов; выбор приоритетов, умение распределять время; отделение эмоций от реальных фактов.
Влияние неблагоприятных факторов внешней среды. Загрязнение окружающей человека природной среды, во многом связанное с микроэлементами из группы тяжелых металлов, может иметь негативные последствия для здоровья детей. Известно, что в непосредственной близости от многих промышленных предприятий образуются зоны с повышенным содержанием свинца, мышьяка, ртути, кадмия, никеля и других микроэлементов. Наиболее распространенным нейротоксикантом из группы тяжелых металлов является свинец, а источниками загрязнения им окружающей среды — промышленные выбросы и выхлопные газы автотранспорта. Поступление свинца в организм детей может вызывать когнитивные и поведенческие нарушения у детей.
Роль пищевых факторов и несбалансированного питания. Возникновению или усилению симптомов СДВГ могут способствовать несбалансированность питания (например, недостаточность белков при увеличении количества легко усваиваемых углеводов, особенно в утренние часы), а также недостаточность в пище микронутриентов, в том числе витаминов, фолатов, омега-3 полиненасыщенных жирных кислот (ПНЖК), макро- и микроэлементов. Такие микронутриенты, как магний, пиридоксин и некоторые другие непосредственно влияют на синтез и деградацию моноаминовых нейромедиаторов. Поэтому дефицит микронутриентов может влиять на нейромедиаторный баланс и, следовательно, на манифестацию симптомов СДВГ.
Таким образом, СДВГ — сложное психоневрологическое расстройство, сопровождающееся структурными, метаболическими, нейрохимическими, нейрофизиологическими изменениями в ЦНС, а также нейропсихологическими нарушениями со стороны процессов обработки информации и УФ.
Симптомы СДВГ у детей
Симптомы СДВГ у ребенка могут стать поводом для первичного обращения к педиатрам, логопедам, дефектологам, психологам. Часто на симптомы СДВГ впервые обращают внимание педагоги дошкольных и школьных образовательных учреждений, а не родители. Обнаружение таких симптомов — повод показать ребенка врачу-неврологу и нейропсихологу.
Основные проявления СДВГ
1. Нарушения внимания
Не удерживает внимание на деталях, допускает много ошибок. С трудом сохраняет внимание при выполнении школьных и других заданий. Не слушает обращенную к нему речь. Не может придерживаться инструкций и довести дело до конца. Не способен самостоятельно спланировать, организовать выполнение заданий. Избегает дел, требующих длительного умственного напряжения. Часто теряет свои вещи. Легко отвлекается. Проявляет забывчивость.
2а. Гиперактивность
Часто совершает беспокойные движения руками и ногами, ерзает на месте. Не может усидеть на месте, когда это необходимо. Часто бегает или куда-то забирается, когда это неуместно. Не может тихо, спокойно играть. Чрезмерная бесцельная двигательная активность имеет стойкий характер, на нее не влияют правила и условия ситуации.
2б. Импульсивность
Отвечает на вопросы, не выслушав до конца и не задумываясь. Не может дожидаться своей очереди. Мешает другим людям, перебивает их. Болтлив, несдержан в речи.
Обязательными характеристиками СДВГ являются:
— продолжительность: симптомы отмечаются на протяжении не менее 6 мес;
— постоянство, распространение на все сферы жизни: нарушения адаптации наблюдаются в двух и более видах окружающей обстановки;
— выраженность нарушений: существенные нарушения в обучении, социальных контактах, профессиональной деятельности;
— исключаются другие психические расстройства: симптомы не могут быть связаны исключительно с течением другого заболевания.
В зависимости от преобладающих симптомов выделяют 3 формы СДВГ:
- 1. сочетанная (комбинированная) форма — имеются все три группы симптомов (50-75%);
- 2. СДВГ с преимущественными нарушениями внимания (20-30%);
- 3. СДВГ с преобладанием гиперактивности и импульсивности (около 15%).
Симптомы СДВГ имеют свои особенности в дошкольном, младшем школьном и подростковом возрасте.
Дошкольный возраст. В возрасте от 3 до 7 лет обычно начинают проявляться гиперактивность и импульсивность. Гиперактивность характеризуется тем, что ребенок находится в постоянном движении, не может спокойно усидеть на месте во время занятий в течение даже непродолжительного времени, слишком болтлив и задает бесконечное число вопросов. Импульсивность выражается в том, что он действует, не подумав, не может дожидаться своей очереди, не ощущает ограничений в межличностном общении, вмешиваясь в разговоры и часто перебивая других. Такие дети часто характеризуются как не умеющие себя вести или слишком темпераментные. Они крайне нетерпеливы, спорят, шумят, кричат, что часто приводит их к вспышкам сильного раздражения. Импульсивность может сопровождаться бесшабашностью, в результате чего ребенок подвергает опасности себя (повышен риск травм) или окружающих. Во время игр энергия бьет через край, и поэтому сами игры приобретают разрушительный характер. Дети неаккуратны, часто бросают, ломают вещи или игрушки, непослушны, плохо подчиняются требованиям взрослых, могут проявлять агрессивность. Многие гиперактивные дети отстают от сверстников в развитии речи.
Школьный возраст. После поступления в школу проблемы детей с СДВГ значительно нарастают. Требования к обучению таковы, что ребенок с СДВГ не в состоянии их выполнить в полной мере. Во время уроков не слышат учителя, им сложно справляться с предлагаемыми заданиями, так как они испытывают трудности в организации работы и доведении ее до конца, забывают по ходу выполнения условия задания, плохо усваивают учебные материалы и не могут правильно их применять. Они довольно скоро выключаются из процесса выполнения работы, даже если располагают для этого всем необходимым, не обращают внимания на детали, проявляют забывчивость, не выполняют указаний педагога, плохо переключаются, когда условия задания меняются или дается новое. Не могут самостоятельно справляться с выполнением уроков дома. По сравнению со сверстниками гораздо чаще наблюдаются трудности формирования навыков письма, чтения, счета, логического мышления.
Проблемы во взаимоотношениях с окружающими, в том числе со сверстниками, педагогами, родителями, братьями и сестрами, постоянно встречаются у детей с СДВГ. Поскольку для всех проявлений СДВГ типичны существенные колебания настроения в различные отрезки времени и в разных ситуациях, поведение ребенка отличается непредсказуемостью. Нередко наблюдаются вспыльчивость, задиристость, оппозиционное и агрессивное поведение. В результате он не может долго играть, успешно общаться и устанавливать дружеские отношения со сверстниками. В коллективе он служит источником постоянного беспокойства: шумит, не задумываясь, берет чужие вещи, мешает окружающим. Все это приводит к конфликтам, и ребенок становится нежеланным и отвергаемым в коллективе.Ребенок с СДВГ не только плохо учится сам, но часто «срывает» уроки, мешает работе класса и поэтому часто вызывается в кабинет директора. В целом его поведение создает впечатление «незрелости», несоответствия своему возрасту. Общаться с ним обычно готовы лишь дети младше по возрасту или сверстники со сходными проблемами поведения. Постепенно у детей с СДВГ формируется низкая самооценка.
Дома дети с СДВГ обычно страдают от постоянных сравнений с братьями и сестрами, которые хорошо ведут себя и лучше учатся. Родителей раздражает то, что они беспокойны, навязчивы, эмоционально лабильны, недисциплинированны, непослушны. В домашних условиях ребенок неспособен ответственно относиться к выполнению повседневных поручений, не помогает родителям, неаккуратен. При этом замечания и наказания не дают желаемых результатов. По словам родителей «С ним вечно что-нибудь случается», то есть имеется повышенный риск травм и несчастных случаев.
Подростковый возраст. В подростковом возрасте выраженные симптомы нарушений внимания и импульсивности продолжают наблюдаться не менее чем у 50-80% детей с СДВГ. При этом гиперактивность у подростков с СДВГ значительно уменьшается, сменяется суетливостью, чувством внутреннего беспокойства. Для них характерны несамостоятельность, безответственность, трудности в организации и завершении выполнения поручений и особенно длительной по времени работы, с которыми зачастую они не в состоянии справиться без посторонней помощи. Нередко ухудшается успеваемость в школе, так как они не могут эффективно спланировать свою работу и распределить ее по времени, откладывают со дня на день выполнение необходимых дел.
Нарастают трудности во взаимоотношениях в семье и школе, нарушения поведения. Многих подростков с СДВГ отличают безрассудное поведение, сопряженное с неоправданным риском, трудности в соблюдении правил поведения, неподчинение общественным нормам и законам, невыполнение требований взрослых — уже не только родителей и педагогов, но и официальных лиц, например представителей школьной администрации или работников милиции. При этом им свойственны слабая психоэмоциональная устойчивость при неудачах, неуверенность в себе, заниженная самооценка. Они слишком чувствительными к поддразниваниям и насмешкам со стороны сверстников, которые считают их глупыми. Окружающие по-прежнему характеризуют поведение подростков с СДВГ как незрелое, не соответствующее возрасту. В повседневной жизни они пренебрегают необходимыми мерами безопасности, что увеличивает риск травм и несчастных случаев.
Подростки с СДВГ склонны к вовлечению в подростковые группировки, которые совершают различные правонарушения, у них может появиться тяга к употреблению алкоголя и наркотиков. Но в этих случаях они, как правило, оказываются ведомыми, подчиняясь воле более сильных по характеру сверстников или лиц старше себя и не задумываясь о возможных последствиях своих действий.
Коморбидные (сопутствующие) расстройства при СДВГ:
— расстройство поведения, тревожные расстройства, расстройства настроения,
— когнитивные — нарушения развития речи, специфические трудности обучения — дислексия, дисграфия, дискалькулия,
— двигательные — статико-локомоторная недостаточность, диспраксия развития, тики;-
— нарушения сна (парасомнии),
— энурез, энкопрез.
Таким образом, проблемы в обучении, поведении и эмоциональной сфере могут быть связаны как с непосредственным влиянием СДВГ, так и с коморбидными расстройствами, которые должны быть своевременно диагностированы и рассматриваться в качестве показаний для дополнительного назначения соответствующего лечения.
Лечение расстройства дефицита внимания у взрослых
Лечение проводится у психиатра с опытом лечения СДВГ. Оно включает следующее:
- вносить изменения в образ жизни и разрабатывать системы для улучшения управления временем и способности выполнять задачи;
- решение любых проблем с наркоманией или алкоголизмом;
- научить вас направлять своей концентрацией в нужном русле;
- помочь вам получить поддержку от друзей или семьи.
Лекарства могут помочь лучше сконцентрироваться, быть менее импульсивными, чувствовать себя спокойнее, учиться и практиковать новые навыки. Обычно врачи при синдроме дефицита внимания и гиперактивности назначают принимать антидепрессанты, ингибиторы, нейролептики, а также витамины и пищевые добавки.
Среди популярных препаратов для лечения следующие:
- метилфенидат (концерта, риталин);
- дексамфетамин (декседрин);
- атомоксетин (страттера).
Лечение гиперактивности у детей
В медицинской практике используется несколько вариантов лечения гиперактивности у детей. В первую очередь проводится тщательное обследование маленького пациента. Одной из ведущих целей становится исключение потенциальной патологии.
Далее специалисты предпочитают назначать немедикаментозные курсы. В работе применяются психолого-педагогические и психологические методики. Важным условием становится участие в процессе лечения всей семьи. Для этого используются специализированные семейные практики. Это позволит наладить контакт с ребенком, страдающим гиперактивностью и разработать программу лечения.
В острых ситуациях и при отсутствии эффекта в лечении с использованием психологических занятий и тренингов проводится выбор лекарственных средств:
- назначаются депрессанты, Амитриптилин, Метилфенидат;
- повышению уровня концентрации внимания способствует Фокалин, Виванс, Метилин;
- глицин способствует улучшению работы мозга;
- ноотрропных перпаратов Фенибут, Пантогам и других.
Все указанные лекарственные средства в лечении ребенка одновременно используются в исключительных случаях. Индивидуальная программа терапии разрабатывается для каждого маленького пациента.
Причина № 2. Неверные установки
Правильные внутренние установки — залог успеха. Ответьте на вопрос: для чего вы ищете мужчину? Очень многие хотят за счет партнера решить свои проблемы, получить человека, который будет их «донором». Кому-то нужен психолог, кому-то — бойфренд-праздник (поскольку сама себе женщина его устроить не может), кому-то — «тугой кошелек» или возможность с одних созависмых отношений переключиться на другие. И конечно, есть категория, которая искренне считает, что быть одинокой — позор. Для этих барышень отношения — некий индикатор отсутствующей самооценки. По сути, у таких женщин нет понимания, для чего на самом деле нужен мужчина, что с ним делать и при этом есть страх, что не дай бог его не будет.
Получается, что у женщины совершенно не выстроено понимание, кто она сама в первую очередь, второе — для чего нужны отношения, и третье — какого человека ей хочется видеть рядом.
Статья по теме
Жена, а не стриптизерша. Как одеваться, чтобы выйти замуж










