Perfect лепнина официальный сайт на сайте лепнина-перфект.рф. | На сайте http://privateglass.ru пленка с переменной прозрачностью. стяжка пола заказать москва На выполненные работы, наша компания предоставляет гарантии, сроком на 3 года. Заказывая полусухую стяжку в Раменском, вы получаете идеально ровные полы, выполненные с соблюдением технологии укладки, профессиональными сотрудниками, с большим опытом.
Гиперактивный мочевой пузырь (ГМП) является широко распространенной проблемой, затрагивающей сотни миллионов людей по всему
Депрессия сегодня, как избежать Депрессия, код по МКБ-10 F32 – стойкое снижение фона настроения
Чувство вины
Вина и стыд: височные доли Нам легко понять, как память или счет могут быть
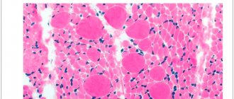
Общие сведения Характерной чертой болезни является нарушение обмена веществ в скелетной мышечной ткани. Мускулы
Как делают амниоцентез? Эта инвазивная процедура осуществляется с помощью шприца, соединенного с длинной полой
Поведение человека в обществе всегда подразумевает под собой соответствие общепринятым нормам, регулирующим общественные отношения
Поражение какой-либо из артерий кровоснабжающих мозг приводит к нарушению функции отделов мозга в бассейне
Эмоциональная лабильность
Для кого-то постоянное изменение эмоционального состояние – это норма. Но с научной точки зрения
Страшно ли делать обследование МРТ - как пройти томографию при клаустрофобии, не бояться и настроиться?
МРТ можно проводить без назначения врача Это действительно так. Аппарат МРТ не оказывает вредного
Типы интеллекта
Стремясь развить интеллект ребенка, многие уделяют внимание лишь познавательным способностям малыша. Однако не стоит
Для любых предложений по сайту: logopedkursk@cp9.ru