Рассеянный склероз: причины, стадии, симптомы, диагностика и лечение

Рассеянный склероз имеет затяжной латентный период и потеря нервных волокон до момента проявления патологии может быть 10 — 20 %. Начальная стадия проявления болезни в большинстве случаев проходит без симптомов и без своевременного выявления заболевания. Правильная диагностика, подбор лекарства и терапия на раннем этапе болезни сдерживает дальнейшее ее ускорение и избавляет от инвалидности.

Что у женщин увеличивает риск заболевания рассеянным склерозом?

Женский организм, более чем мужской, подвержен аутоиммунным заболеваниям, к которым относят рассеянный склероз. Почему болезнь так избирательна и предпочитает представительниц прекрасного пола?

Реклама:

Никакого объяснения этому факту, кроме половой принадлежности. Гормональные и иммунные изменения в организме: фазы менструального цикла, беременность, роды, вирусы, ломающие иммунитет женщин, особенности генетики в сумме с другими причинами болезни чаще запускают болезнь.

Организм женщин предрасположен к «подскакиванию» проницаемости гематоэнцефалического барьера

. Периодическое употребление гормональных контрацептивов, климактерические изменения (прекращается продукция эстрадиола) ведут к попаданию нежелательных частиц в головной мозг.

Какая угодно вирусная инфекция при этих условиях нацелена на разрушения клеток нервной системы.

Общеизвестно, что пол определяет различия в головном отделе нервной системе, от генетического до клеточного. Возникновение и развитие РС происходит под влиянием половых гормонов

, этот нюанс отличает и облегчает протекание болезни у женщин в отличии от мужчин.

Слуховые или зрительные галлюцинации могут свидетельствовать о тяжелом течении заболеваний или являться следствием пережитого стресса, употребления веществ, алкогольных напитков. Подробнее читайте в статье: «как избавиться от слуховых галлюцинаций».

Прогноз

На данный момент прогноз о дальнейшей судьбе больного дать сложно, так как до конца еще не изучена мозговая активность и сам головной мозг. Даже о профилактике и предотвращения рассеянного склероза говорить не приходится. На протяжении течения заболевания, постоянно происходит увеличение обострений. Что можно сказать о методах лечения, так это то, что оно состоит из купирования прогрессии патологических развитий.

Поэтому, при рассеянном склерозе, правильно подобранное индивидуальное купирование обострений, способно приостановить развитие болезни, но не излечить. После того, как получена стабильная ремиссия, начинаются физиотерапевтические мероприятия, для возвращения утраченных способностей организма.

Поэтому, очень важная роль при лечении, отводится уходу за пострадавшим от данного заболевания. Такие комплексные мероприятия, в домашних условиях, возможны только при стабильной ремиссии рассеянного склероза.

В чем состоят особенности рассеянного склероза у женщин?

Специфика заболевания состоит:

Реклама:

  • в единичном или множественном повреждении миелиновой оболочки нервных путей на разных участках органов центральной нервной системы;
  • в нарушении проводимости нервных импульсов;
  • в появлении тяжелых аутоиммунных состояний.

Симптомы у женщин при начальной стадии рассеянного склероза, указывают наличие травмированных нервных окончаний на участках головного или спинного мозга.

Ретробульбарный неврит, головокружение, мышечная слабость вызваны инволюцией различных функций нервной системы, определяющих психоэмоциональное и физическое здоровье.

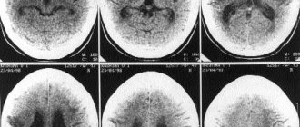
Очаг поражения болезнью образуют бляшки рассеянного склероза на участках разрушения миелина. Наблюдается величина бляшек до 2 — 3 см в диаметре

, иногда картинка МРТ — исследования выглядит так, будто «всё как в снегу» в этих бляшках, пятна поражения волокон могут «слипаться» в более крупные при прогрессировании заболевания.

У пациентки при исследовании отмечаются бляшки разного уровня активности: присутствуют старые и появились свежие. Скорее всего, разгадка такого большого разнообразия симптомов болезни состоит в непрекращающейся атрофии нервных волокон.

Гипотиреоз и гипертиреоз — это заболевания, которые возникают на фоне гипофункции и гиперфункции щитовидной железы. При гипотиреозе щитовидка вырабатывает недостаточно гормонов, замедляются все внутренние процессы. Подробнее читайте в статье: «гиперфункция щитовидной железы, симптомы у женщин».

Некоторые замечания о течении заболевания у женщин

Первичные признаки рассеянного склероза у женщин чаще всего не выявляются, даже когда у больной уже появились бляшки РС в мозге, дебют может пройти незамеченным, а может сразу же нанести непомерный ущерб здоровью, болезнь может проявиться в разных формах.

Реклама:

Примерные варианты распознавания начала заболевания:

  1. по факту ослабления зрения, нарушения чувствительности;
  2. патология никак не проявлялась, но случайно МРТ-исследование показывает очаговое поражения мозга.

Механизм развития патологии включает процесс компенсации интактными нервными волокнами поражение небольшого количества нервной ткани. Пока поражение не составят 40 — 50 %, очаговые неврологические признаки себя не проявляют.

Типичное течение болезни у женщин происходит с чередованием моментов обострения и ремиссии, у мужчин — неослабная интенсификация заболевания

. Считается, что женские гормоны блокируют динамику развития астроглиоза и оболочка нервной клетки способна восстанавливаться.

Нет классификации специфических признаков рассеянного склероза для разных пациенток. Для каждой пациентки они индивидуальны. Болезнь может себя обнаружить одним или группой признаков в зависимости от местонахождения очагов демиелинизации

.

Причины РС у взрослых

Признаки рассеянного склероза обычно проявляются к 20-40-летнему возрасту. И это как раз основная категория пациентов. Вероятность болезни гораздо выше у тех, у кого есть семейная история заболевания, однако речь не идет о том, что она обязательно разовьется. Исключение факторов, которые могут привести к развитию болезни, позволит избежать даже генетической предрасположенности. К числу провоцирующих факторов РС у взрослых относятся:

  • Хронический стресс

Стоит отметить, что нет достоверных научных данных о том, что стресс провоцирует развитие рассеянного склероза, однако практика показывает, что сильное эмоциональное потрясение может стать причиной болезни, и практически все больные отмечают перенесенные стрессы в анамнезе заболевания.

  • География

Установлено, что диагноз чаще выставляется пациентам, которые живут далеко от экватора. Причина — в малом количестве солнечного света и, следовательно, дефиците витамина D. Кстати, исследования показывают, что около 60% населения всего земного шара живет с хроническим дефицитом солнечного витамина.

  • Курение и отравления

Действие канцерогенов, содержащихся в табачном дыме, отравление токсическими веществами – возможные и явные причины РС.

  • Вирусные инфекции

Вирус герпеса, краснухи, ротовирусы хоть и не являются явной и непосредственной причиной РС, но оказывают влияние на иммунитет, поэтому могут спровоцировать его нарушение и развитие болезни.

Причины болезни у пожилых и детей

Вероятность развития РС у пожилых пациентов гораздо ниже в сравнении с молодыми. Однако действуют такие же провоцирующие факторы. На них наслаиваются приобретенные хронические болезни, возрастные изменения. Механизм развития болезни у детей связан с выработкой антимиелиновых аутоантител. Сам процесс может быть спровоцирован внешними факторами. Известно, что в детском возрасте опасно влияние неблагоприятных факторов окружающей среды, что приводит к интоксикации.

Симптомы рассеянного склероза в зависимости от формы

Клиническая картина РС зависит от того, какая область головного или спинного мозга была поражена. В соответствии с этим выделяют несколько форм болезни. Ранние признаки рассеянного склероза отличаются, например, при одной форме они яркие, при другой – стертые.
«Чистые» формы РС встречаются крайне редко, обычно симптоматика относится к нескольким сразу, а врачи диагностируют смешанные патологии.

Какие причины могут запустить рассеянный склероз у женщин?

Этиологии рассеянного склероза рассматривает заболевание как многофакторное

. Но ведущая роль отводится аутоиммунным процессам, рассматривая их как первостепенную причину возникновения болезни. Перечень других причин, возможных оказать влияние на появление данной патологии:

Реклама:

  • вирусные и бактериальные инфекции;
  • воздействия токсических факторов на организм;
  • повышенный уровень радиации окружающей среды;
  • негативное влияния ультрафиолета на кожу;

  • география постоянного проживания (холодный климат);
  • травмы и оперативное вмешательство;
  • нарушение психоэмоционального состояния;
  • инфекционно-аллергические заболевания;
  • сосудистые заболевания;
  • наследственная предрасположенность.

Симптомы начальной стадии рассеянного склероза

  • Нарушение зрения
    . Ответная реакция на воздействие заболевания на зрительный нерв, вызывающая боль и двоение, появление синдрома «сухого глаза», черное пятно по центру, нистагм.
  • Снижение чувствительности кожи
    . На начало болезни указывает: оцепенение рук и ног, покалывания в пальцах, синдром беспокойных ног, спазмы в мышцах конечностей.
  • Тремор рук
    . Болезнь на начальном этапе иллюстрируется подрагиванием рук. Больная может обнаружить, что затрудняется застегивать пуговицы, завязывать шнурки.
  • Нарушение координации движений
    . Очаги поражения на спинном нерве могут вызвать такие симптомы: головокружение, шаткость походки, потеря равновесия.

  • Резкие притоки жары или холода
    . Поврежденные нервные волокна «сигналят» в мозг нерезкими импульсами, больную осаждают непредсказуемые волны тепла или холода. Проявление этого симптома не имеет связи с температурой среды обитания.
  • Нарушения функций тазовых органов
    . Неожиданные запоры, нарушается мочеиспускание и наступает момент, когда больная утрачивает контроль над процессами опоражнивания кишечника и мочевого пузыря.
  • Ослабление памяти и снижение интеллекта
    . Понижение памяти и умственной деятельности — самый убедительный симптом рассеянного склероза.
  • Изменения в продолжительности менструального цикла
    . Повреждения нервных волокон вызывает нарушение функций репродуктивной системы и гормонального фона.
  • Повышенная утомляемость
    . Состояние переутомления и разбитости сразу после ночного сна — отклик организма на рассеянный склероз.

Проявления склероза у женщин

Симптомы рассеянного склероза у женщин, и причины появления, разнообразны, и зависят от того, какая часть спинного или головного мозга подвержена поражению. Помимо этого, симптомы могут, как проявляться, так и пропадать, что усложняет диагностирование организма. Частыми признаками развития начального рассеянного склероза являются:

  • сильная слабость в конечностях;
  • постоянная утомляемость организма при незначительных нагрузках;
  • резкое ухудшение зрительных функций человека с быстрым восстановлением;
  • онемение конечностей;
  • головные боли;
  • головокружение;

  • сильное нарушение координации движения;
  • у мужчин может развиться импотенция;
  • появиться эпилепсия.

При отсутствии лечения, данные симптомы усиливаются, что приводит:

  • зрения;
  • речевых оборотов;
  • появляется нарушение глотания;
  • сухость в ротовой полости;
  • отсутствие сна и желания принимать пищу;

  • сильное снижение умственных способностей;
  • недержание мочи и кала;
  • развивается слабоумие (деменция).

Только своевременное обращение и ранняя диагностика данной патологии, может спасти человека от быстрой инвалидности и оттянуть ее наступление. Проявления клинической формы патологии, напрямую связано с поражением некоторых участков головного и спинного мозга человека. Все они выражаются резким снижением мышечной способности пострадавшего, что требует посторонней помощи в некоторых случаях заболевания. При тяжелом протекании болезни, может произойти паралич конечностей. В такой ситуации, требуется комплексный подход в лечении,

Последствия рассеянного склероза

Рассеянный склероз у женщин, приносит сильные последствия для организма. Рассеянный склероз, сам по себе не приносит смертельный исход человеку, но последствия от него увеличивают процент смертности существенно. Развитие заболевания, трудно предсказать и спрогнозировать. Болезнь несет последствия для организма:

  • органы человека и конечности перестают получать импульсные команды от головного мозга;
  • нарушается моторика плавных движений;
  • возникает нечеткая речь;
  • проявляется потеря чувствительности кожного покрова;
  • сильно снижается интеллектуальные способности человека.

Как будет прогрессировать данное заболевание, во многом зависит от иммунной системы и способности организма защищаться от рассеянного склероза.

Симптомы начальной стадии

Заболевание проявляется по-разному. Все зависит от места расположения прогрессирующих очагов. Поврежденные отростки нейронов (верхний слой аксонов) образуют соединительную ткань («склеротическую») в виде рубцов. Эти омертвевшие участки не проводят нервные импульсы от ЦНС (или спинного мозга) к органам и периферийным зонам организма.

В итоге нервные клетки постепенно отмирают. Такой процесс не обратим. Симптомы рассеянного склероза у женщин на начальной стадии:

  • Нарушение координации движений
    . Сопровождается головокружением и потерей равновесия при ходьбе.
  • Снижение чувствительности
    . Выражается жжением, покалыванием в конечностях или ощущением натянутой кожи.
  • Проблемы со зрением
    . Пациент внезапно начинает плохо видеть на один глаз. Изображение становится мутным, а цвета — искаженными. Это один из самых распространенных симптомов рассеянного склероза у женщин.

  • Нарушение работы мочеполовой системы
    . Мочеиспускание становится учащенным либо с задержками. В то же время наблюдается недержание мочи, а также сбой менструального цикла.
  • Эмоциональные расстройства
    . Частые депрессивные состояния или резкие перемены настроения сопровождаются либо слезами, либо истерическим смехом.

Первые проявления РС у молодых девушек связаны с нарушением зрения, а также слуха. Постоянная слабость, сильная утомляемость, частые головные боли и дискомфорт в животе являются тревожными сигналами, которые нельзя игнорировать. Когда болезнь прогрессирует, наступает паралич конечностей, распространяющийся на все тело.

Как понять, что больна?

Начальная стадия рассеянного склероза характеризуются чередованием рецидивов (приступ, обострения) и ремиссии. РС в большинстве случаев (75-85%) начинается в ремитирующей форме. Распространенные симптомы рассеянного склероза на начальной стадии у женщин и мужчин не различаются и включают:

  • нарушения чувствительности;
  • расстройство координации движений;
  • глазные двигательные расстройства (нистагм);
  • половые и сфинктерные дисфункции;
  • часто присутствует воспаление зрительного нерва.

В большинстве случаев симптомы начальной стадии утихают в течение 6-8 недель, но иногда могут оставить постоянное патологическое неврологическое обнаружение или определенную степень инвалидности. Способность устранить последствия рассеянного склероза у женщин обычно снижается с течением болезни. Периоды чередования приступов и ремиссии длятся около 5-15 лет. Воспалительная активность на МРТ на данном этапе самая высокая.

  • РС — сложное заболевание. От проявления первых симптомов у женщин на ранних стадиях до постановки диагноза рассеянный склероз проходит около 7 лет. Так на чем сфокусироваться? Какие признаки являются поводом обращения к врачу? Изменения ощущения в конечностях: покалывание, дрожь, онемение в ногах;

  • ощущения, напоминающие поражение электрическим током, продвигающиеся вдоль позвоночника или отдающие в конечности.

Головокружение при РС имеет нехарактерное течение и часто сопровождается отниманием конечностей и мурашками по всему телу. Каков он рассеянный склероз и как с ним живется, как проявляются первые симптомы — женский взгляд на проблему изнутри:

Что такое ремиссия рассеянного склероза?

Ремиссия — отчетливое уменьшение или исчезновение неврологической симптоматики продолжительностью не менее 24 часов [3].

Если длительность ремиссии составляет более 30 дней, то она может быть определена как стойкая. При появлении нового симптома или отчетливого ухудшения ранее наблюдаемых симптомов в течение 30 дней включительно состояние расценивается как продолжающееся обострение [3].

  • Переход в стадию ремиссии не означает, что симптомы исчезли полностью. Некоторые люди возвращаются к прежнему состоянию, которое было до начала обострения, у кого-то симптомы сохраняются, но остаются менее выраженными, чем в период обострения.
  • Чем дольше период обострения и короче период ремиссии, тем быстрее накапливается неврологический дефицит и ухудшается состояние пациента.

Период ремиссии рассеянного склероза, в зависимости от типа течения и активности процесса, может продолжаться от нескольких месяцев до нескольких лет. Отсутствие новых симптомов и стабильное состояние пациента, как правило, не является поводом для отмены терапии ПИТРС. Препараты, изменяющие течение рассеянного склероза, необходимо принимать по назначенной схеме длительное время и отменять или корректировать лечение только по согласованию с лечащим врачом [7].

Следует помнить, что главным условием поддержания ремиссии рассеянного склероза является своевременное применение назначенных препаратов [7]. Более подробно с правилами и рекомендациями по применению ПИТРС можно ознакомиться на странице «Правила терапии рассеянного склероза».

Около 90% пациентов имеют рецидивирующе-ремиттирующую форму течения заболевания. Эта форма характеризуется чередованием рецидивов и обострений. Со временем симптомы во время обострений накапливаются, и состояние пациента ухудшается. Терапия же позволяет ограничить количество и глубину обострений, замедляет инвалидизацию больных [8, 9].

Основные задачи лечения на ранней стадии болезни

На ранней стадии болезнь протекает бессимптомно или с проявлением целого ряда симптомов

, путающих картину заболевания. Периоды тяжелого состояния чередуются моментами относительного благополучия. После постановки диагноза сразу же назначается иммуномодулирующая терапия, подбираются патогенетические средства, иммуносупрессоры. Запоздалое назначение лечения снижает его результативность.
Целесообразно быстрое решение следующих задач:
Реклама:

  1. купировать обострение заболевания;
  2. оказать помощь очагам аутоиммунного воспаления;
  3. предупредить или отдалить на время появление новых обострений;

  4. уменьшить симптомы, при которых невозможно работать;
  5. запланировать мероприятия для облегчения болезни.

Важная информация. В центре им. Пирогова опробован новейший метод лечения рассеянного склероза путем трансплантации стволовых клеток и химиотерапии. У пациентки целиком устранили иммунную систему, позднее восстановили ее при помощи стволовых клеток, ранее выделенных из собственной крови.

Все о рассеянном склерозе позвоночного столба

Склероз позвоночного столба является хронической патологией, его течение прогрессирующее, а прогноз нельзя назвать благоприятным. Это заболевание считается демиелинизирующим, поскольку оно поражает миелиновые оболочки нервных волокон центральной и периферической нервной систем. При этом мягкие ткани, окружающие позвоночник, замещаются соединительной тканью. Защитная миелиновая оболочка при этом воспаляется и разрушается, вызывая нарушение координации двигательных актов, боль в спине, нарушение акта мочеиспускания и дефекации в виде недержания, а также некоторые другие клинические проявления.

Что можно отнести к основным причинам возникновения данной патологии?

Медицинская наука в наши дни не стоит на месте, постоянно прогрессирует, однако все причины, приводящие к развитию склероза, полностью так и не изучены. Основными причинными факторами являются:

  • инфекционные процессы, вызванные вирусами или бактериями;
  • наследственная предрасположенность;
  • негативное действие токсических продуктов, а также ионизирующей радиации;
  • нежелательное в геологическом плане место жительства больного человека;
  • травматические повреждения позвоночного столба;
  • хронические стрессовые ситуации, депрессивные состояния;
  • нарушения диетического режима;
  • наличие различных аутоиммунных патологий;
  • длительное применение разных гормональных препаратов, относящихся к ряду контрацептивов.

Курильщики, а также люди, инфицированные вирусом Эпштейна – Барра также подвержены значительному риску заболеть рассеянным склерозом. При этом следует отметить, что выяснение причины болезни даже после ее развития бывает очень и очень сложно.

Клинические проявления патологического состояния

Как уже было сказано, на ранних стадиях болезнь может никак не проявлять себя либо имитировать клиническую картину других заболеваний. Первые симптомы, на которые жалуются пациенты с рассеянным склерозом, — снижение кожной болевой и температурной чувствительности, возникновение онемения определенных участков тела, чувство бегания мурашек по коже. Зачастую больные отмечают снижение мышечной силы в конечностях, появление тремора, шаткости во время ходьбы. Очень характерна для данного заболевания боль в области позвоночного столба различной степени интенсивности, которая усиливается во время двигательной активности, а также может иррадиировать в другие части тела больного человека.

К тому же, может возникать постоянное чувство усталости, которое не проходит даже после полноценного сна, конечности зачастую становятся тугоподвижными, отмечается двоение в глазах всего окружающего. Также часто отмечается ухудшение качества зрения, нистагм глазных яблок, проявления эпилептических приступов.

У представителей мужского пола очень часто отмечается снижение качества и силы потенции, уменьшается сексуальное влечение. Также у больных в запущенных стадиях может наблюдаться нарушение акта мочеиспускания и дефекации (вариант недержания), нарушение памяти вплоть до полной амнезии.

Диагностические и лечебные мероприятия при рассеянном склерозе

При подозрении на данный патологический процесс нужно сразу же обратиться к специалисту, которым в данном случае является врач – невролог. Он полностью расспросит и осмотрит вас, после чего назначит все необходимые диагностические методы, к которым относятся как лабораторные анализы, так и современные инструментальные методы исследования.

При данной патологии берут кровь на клиническое исследование, а также на предмет выявления специфических антител, проводят забор и анализ ликвора, а также выполняют МРТ и методику вызванных потенциалов.

Для лечения назначают кортикостероиды, противовоспалительные обезболивающие препараты, лекарства, защищающие структуру хрящей суставов, а также различные витаминные комплексы.
Автор: К.М.Н., академик РАМТН М.А. Бобырь

Профилактика появления склероза

Профилактика рассеянного склероза включает:

  1. Сигареты и алкоголь ускоряют разрушение нейронов и могут вызывать нарушение иммунной системы.
  2. Слежение за своим весом, отказ от жестких диет и переедания.
  3. Отказ от гормональных лекарств (если это возможно) и контрацептивов.

  4. Отказ от большого количества жирной пищи;
  5. Избегать перегрева. Болезнь Альцгеймера — что это, симптомы и признаки, причины возникновения, лечение, стадии.

Рассеянный склероз — это неизлечимо заболевание, которое может привести к инвалидности, но это не приговор. Важно вовремя диагностировать болезнь и выполнять все предписания врача. Тогда у человека есть шанс дожить до преклонных лет и сохранить бодрость духа. Первичной профилактики (напрямую направленной на предотвращения заболевания) не существует. Можно немного уберечь себя от рассеянного склероза или его рецидивов, если исключить любые инфекции, стрессы, травмы, операции, курение.

Терапия рассеянного склероза в пансионе «Весна»

Для многих людей, поставленный диагноз «рассеянный склероз», звучит как смертный приговор. Причины его развития еще до конца не выяснены. Он может возникнуть в любом возрасте, и не зависит от статуса и уровня жизни. Сильным ударом, такой диагноз является и для родственников больного. Можно ли помочь родному человеку при данной патологии?

На сегодняшний день, лечение от рассеянного склероза имеет три вида и метода:

  1. Лечение прогрессии болезни и ее обострений.
  2. Превентивная терапия с помощью медикаментозного лечения.
  3. Купирование симптоматики заболевания.

Помимо перечисленных методов, основное и главное занимает первый вариант. Эффективность лечения склероза зависит от многих факторов, среди которых правильный уход за больным, своевременное употребление медикаментов, правильность выполнения физиопроцедур. Только выполнение данных методов лечения, больной с данным диагнозом сможет прожить свою жизнь согласно отведенного ему биологического времени.

При ремитирующем рассеянном склерозе, в момент обострений нашими специалистами применяется пульс-терапия гормональными средствами:

  1. Кортикострероидами, которые снимают воспалительный процесс в ЦНС человека и восстанавливают нарушенные функции организма и нервной системы. После снятия обострения, подбираются медикаментозные препараты, строго в индивидуальном порядке, которые приостанавливают развитие очагов воспаления и купируют возможность повторения приступов.
  2. При прогрессирующем вторичном склерозе, нашими специалистами применяются высокодозные иммуномодуляторы, атак же иммуносупресивные средства, которые подавляют усиленную активность иммунной системы человека.
  3. Прогрессирующий первичный рассеянный склероз, наименее поддается лечению и требует борьбу с симптоматикой заболевания и качественный уход за пациентом, что наш пансионат выполняет на высшем уровне.
  4. Прогрессивно-ремитирующий рассеянный склероз, лечится такими методами, как и при ремитирующем склерозе.

Все данные способы, необходимо контролировать при помощи диагностировании, что дает возможность полностью начать контроль над состоянием пострадавшего человека. Каждое лечение имеет свой индивидуальный подход к пациенту и его состоянию, что значительно улучшает его состояние.

Рейтинг
( 1 оценка, среднее 5 из 5 )
Понравилась статья? Поделиться с друзьями:
Для любых предложений по сайту: logopedkursk@cp9.ru